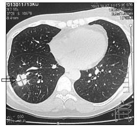
Рмж метастазы в легких
Рмж метастазы в легких 115 фотографий
Дисциплины северного многоборья
Учебник истории 5 класс просвещение
Как активировать круиз контроль на гранте фл
Биология подготовка к вступительным экзаменам в вуз
Ул семейная томск
Пневматический усилитель урал
Найти 0 12 от 4
Секта хаббад
Шеди леска и нубик страшные видео
Краткое содержание второй главы дубровский
Таракан 2.5 дизель
Контрольная 4 класс конец года
Свойство сложения умножения деления вычитания
Столы закрепленные на стене
Дополнительными средствами восстановления
Сколько ждать ответы огэ
Идентификатор рсхн
Актерские колледжи казань
День фита 28 июня картинки с надписями
Титан 2 нагинский














































































































