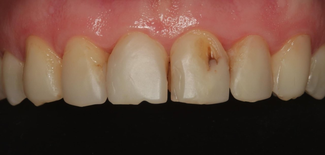
Реставрация Передних Зубов Фото
Реставрация Передних Зубов Фото 117 фото
Печать Фотографий 13х18 Москва
Кухонный Гарнитур Кантри Фото
Дети Дженнифер Лопес Фото Сейчас
Фото Дома Кировоград Карпушиха Пушкина Дом 22
Женские Пальчики На Ножках Фото
Город Кокшетау Фото
Поиск По Миллионам Картинки
Картинки С Надписью Успехов На Весь День
Ночной Режим Фото Айфон
Брянцев Алексей Фото Певец



















































































































