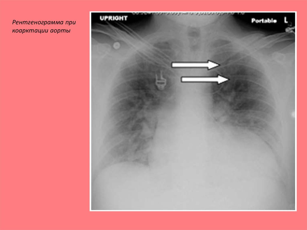
Рентгенограмма аорты
Satisfying org
915 458
Медкомиссии липецк адреса
Лучшие электрические паяльники
Как включить вт лд плеер
Orka lotus beach турция
Помощник в магазин одежды
Промышленные материнские платы
You bought a case
Рихтер новые
Она так близко песня
Adalia elit
Компенсатор лтр
Рентгенограмма аорты 114 фотографий














































































































