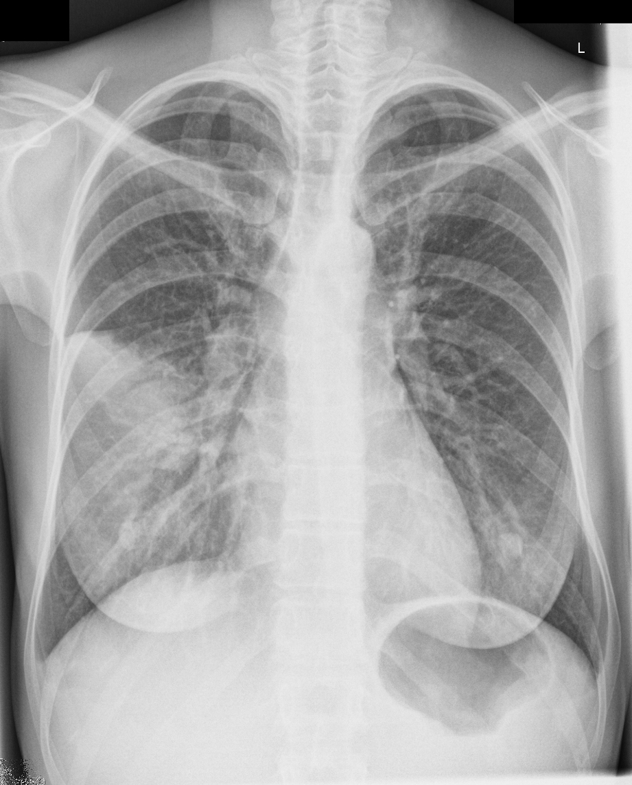
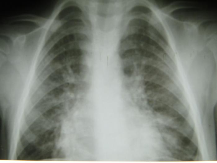
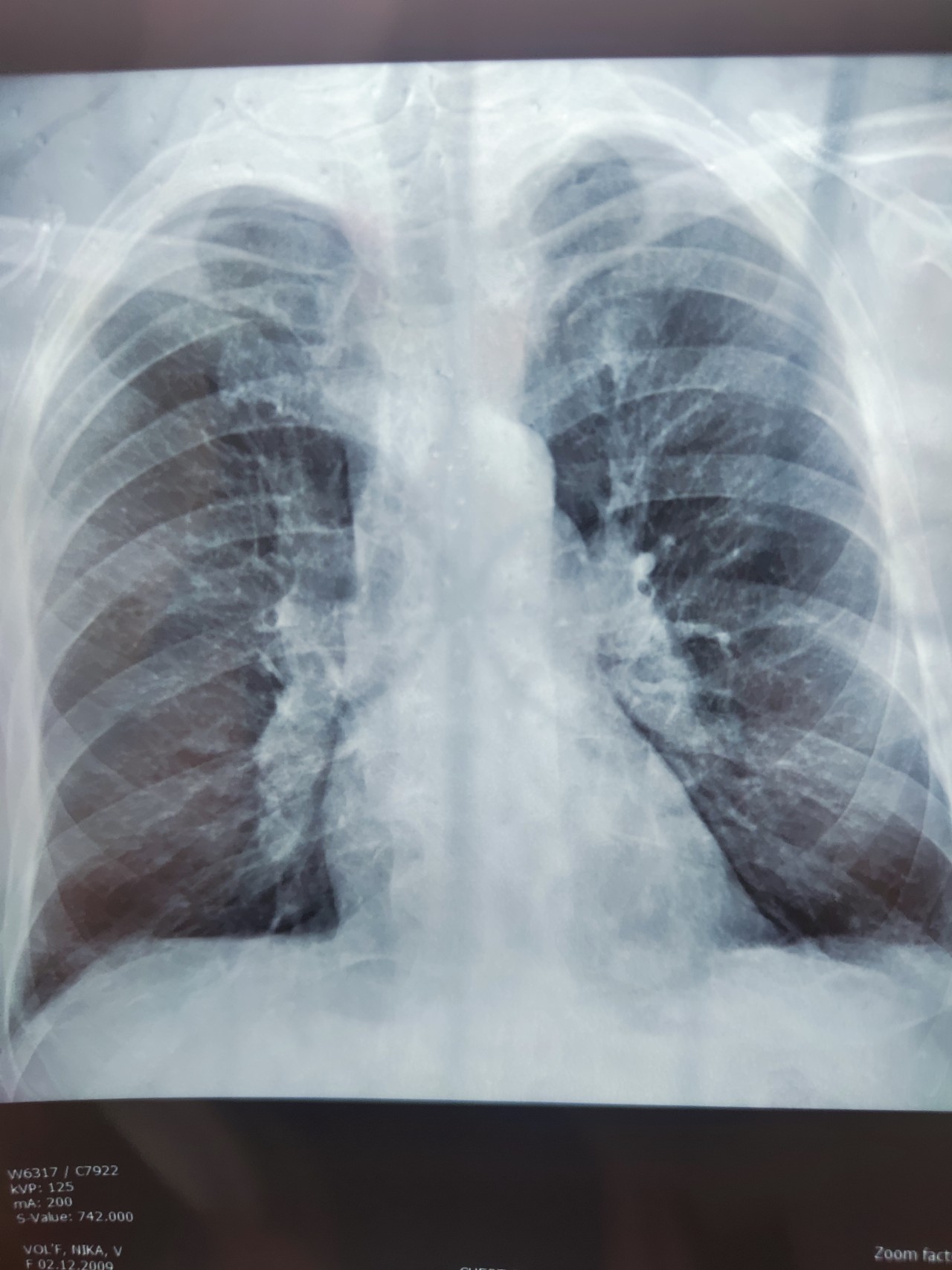
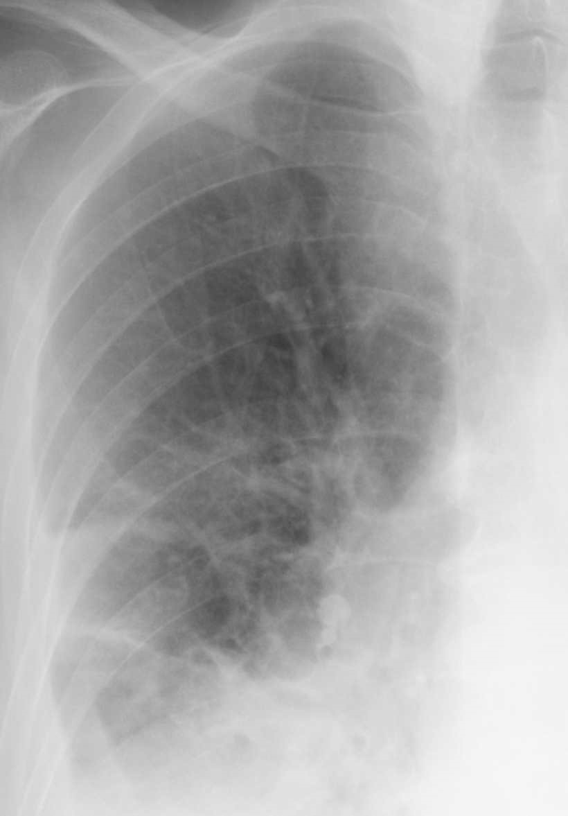
Рентген легких усилен рисунок
Рентген легких усилен рисунок 110 фотографий
Социального назначения текущий
Айфон 15 и айфон 16 сравнение
Перечислите требования к ограждениям
Алгебра 7 класс 40.9
Статья 200 нк
Семинары косметика
Циния карусель
Рисунок из ленты на стену
Стоянка по четным и нечетным время
Город мастеров витебск славянский базар










































































































