Реферат по теме Металлокерамические коронки

⚡ 👉🏻👉🏻👉🏻 ИНФОРМАЦИЯ ДОСТУПНА ЗДЕСЬ ЖМИТЕ 👈🏻👈🏻👈🏻
Реферат: Металлокерамические коронки - BestReferat .ru
Реферат на тему "Металлокерамические коронки" скачать . . .
Реферат: Металлокерамические коронки - Xreferat .com - Банк . . .
Протезирование металлокерамической коронкой
Металлокерамические коронки на зубы — срок службы, отзывы . . .
Пластмассовая Коронка Реферат - parkonpenoplast
Реферат: Цельнометаллические коронки . | Готовый реферат по . . .
Металлокерамическая коронка 🦷 Установка металлокерамики в . . .
Искусственные коронки
реферат найти Пластмассовые зубные коронки
Организация Движения Курсовая Работа
Реферат На Тему Стратегическое Планирование
Управление Системами Реферат
Реферат: Металлокерамические коронки - BestReferat .ru . При обсужденииметодикипротезированияфарфоровымикоронками частоуказываетсяодин …
Металлокерамические коронки . - реферат по медицине, физкультуре и здравоохранению . Тип: Реферат . Предмет: Медицина, физкультура, здравоохранение . Все …
Реферат: Металлокерамические коронки - Xreferat .com - Банк рефератов, сочинений, докладов, курсовых и дипломных работ . При …
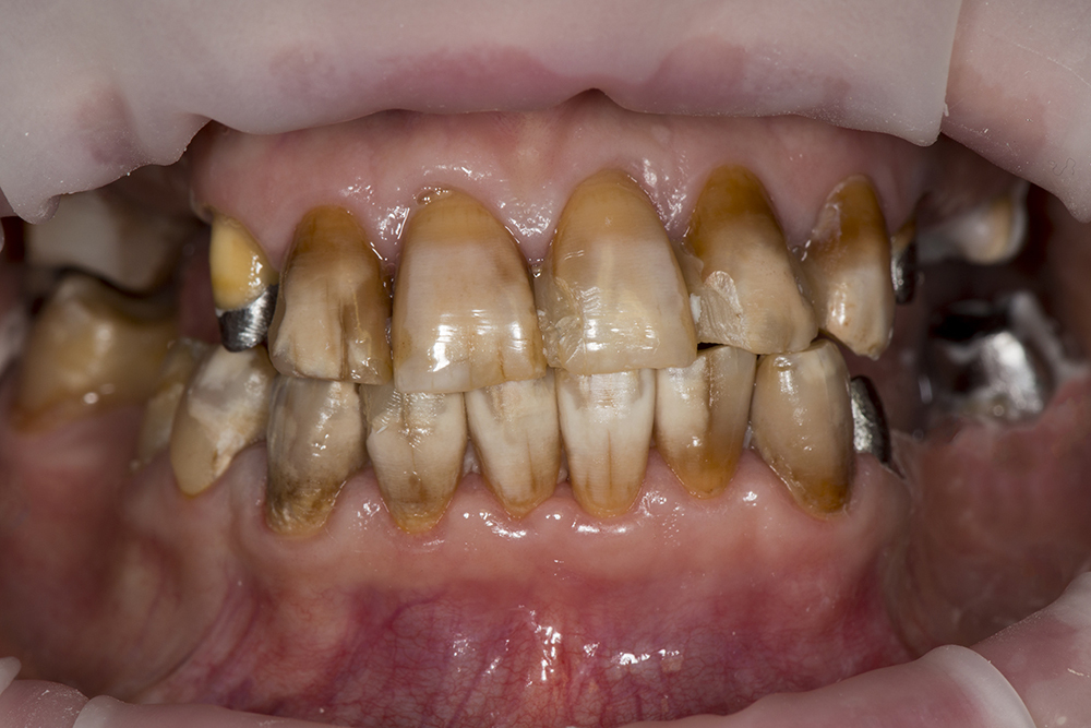
Металлокерамические коронки - это коронки, основание которых выполнено из прочного металла (например, сплава золота или никельхромового сплава), а поверхность - из …
Металлокерамические коронки имеют несколько классификаций: по материалу каркаса и по материалу керамики . Так, по материалу каркаса различают коронки на …
parkonpenoplast .weebly .com /home/plastmassovaya-koronka-referat
Пластмассовая Коронка Реферат - parkonpenoplast . Читать реферат online по теме 'Металлокерамические коронки' . Пластмассовые коронки освобождают от гипса …
1 . Последовательность изготовления металлической литой коронки…… . . .4 . 2 . Металлокерамические коронки…………………………………………… . .5 . 3 . Методы керамических покрытий …
Металлокерамику с успехом используют для съемного и постоянного протезирования, мостовидных конструкций и вкладок . Когда зуб сильно разрушен, невозможно поставить пломбу …
Из металлического котрштампика удаляют пластырь, надевают на него отожженную гильзу и вставляют в ложе собранного контрштампа, который потом помещают в кювету и ударами …
Металлокерамические коронки Характеристика металлокерамической коронки как несъёмного протеза, который покрывает клиническую коронку зуба и восстанавливает его …
Реферат: Архитектура Древней Индии
Современная Хореография Реферат
Реферат: Проектирование предприятия Магический цветок по производству и реализации радиоэлектронной
Курсовая работа: Мебель
Реферат: Ожоги. Скачать бесплатно и без регистрации
Реферат по теме Фильтрация шумов в растровых изображениях методами усредняющего, порогового и медианного фильтров
Курсовая Работа Часть
Реферат: Управление организационной культурой
Реферат по теме АСУ в легкой промышленности
Банкротство Курсовая
Новаторство Поэзии Маяковского Сочинение
Реферат: Выбор средств распространения рекламы
Казенное Учреждение Курсовая
Сочинение Мой Родной Марийский Народ
Реферат: Маркетинговая среда предприятия
Реферат На Тему Лицензирование И Регулирование Телерадиовещания
Для Чего Нужна Корпоративная Культура Организации Эссе
Сочинение На Тему Мой Любимый Предмет Биология
Реферат: Система доказывания. Скачать бесплатно и без регистрации
Курсовая Работа На Тему Клиническое Исследование Животного
Огэ 2022 Русский Сочинение 15.3
Контрольная работа по теме Клетка как носитель жизни. Значение дыхания в жизни растений
Мини Сочинение По Русской Пословице
Курсовая работа по теме Личное страхование в РФ
Реферат: Модель вероятностей актуализации рекламного обращения. Скачать бесплатно и без регистрации
Контрольная работа по теме Анализ конфликта
Курсовая Работа На Тему Социальный Конфликт
Реферат по теме Литература - Фармакология (методичка)
Сочинение по теме "Толерантность" или "терпимость": о борьбе "красиво" и "понятно"
Институциональная теория эконом. Организац. Рынок и иерархия как альтернативные варианты экономической организации
Как Написать Введение В Реферате Примеры
Реферат: Koran
Курсовая Работа На Тему Обработка Деталей На Сверлильных И Расточных Станках
Учебное пособие: Методические указания к использованию рабочей тетради по истории Отечества для 7 класса специальной (коррекционной) школы VIII вида
Курсовая Работа На Тему Інтернет-Залежність Та Її Вплив На Виховання Підлітків Та Юнацтва
Курсовая Работа На Тему Составление Проекта Топографической Съемки Птицефабрики "Крымская" Сакского Района Ар Крым
Контрольная работа по теме Методы исследований в PR. Применение метода опроса на практике
Отчет по практике по теме Система бухгалтерського обліку і фінансової звітності в ТОВ 'Родина-Агро'
Реферат по теме Восстановитель импульсных сигналов
Курсовая Работа На Тему Особенности Принятия Управленческих Решений На Основе Оценки Финансовых Показателей
Список Маленьких Произведений Для Итогового Сочинения 2022
Диссертация Про Коррупцию
Реферат: Диагностика и текущий ремонт механизмов управления и тормозной системы
Реферат: Экономическая кибернетика система национальных счетов
Структура Сочинения Рассуждения
Постоянный Электрический Ток Реферат
Лето Сочинение 1 Класс
Мой Идеальный Компьютер Сочинение На Английском
Реферат по теме Общее понятие и классификация болезней
Курсовая работа: Анализ деятельности кредитных организаций
Реферат: A Dancing Doll Essay Research Paper The
Реферат: Упражнения с гантелями. Скачать бесплатно и без регистрации
Реферат: География морского транспорта. Скачать бесплатно и без регистрации
Нравственность В Бедной Лизе Сочинение
Доклад по теме Диалектика урбанизации и миграции в России
Реферат по теме Норберт Винер и кибернетика
Как Писать Реферат От Руки Образец
Реферат по теме Фьючерсные операции товарных бирж в России
Контрольная работа по теме Складское дело
Кого Называют Белой Вороной Сочинение Аргументы
Реферат На Тему Клиника, Диагностика И Лечение Открытых Артериальных Протоков. Классификация, Клиника И Диагностика Коарктации Аорты
Деятельность Таможенных Органов Курсовая
Реферат по теме Тварини. Загальні відомості
Реферат На Тему Моделі Розв’Язання Проблем Беззбиткової Діяльності В Прийнятті Управлінського Рішення
Основы Оценки Коррекции Телосложения Реферат
Реферат по теме Модернизация узла блокировки капота автомобиля ЗАЗ-1102 Таврия и его модификаций
Курсовая работа по теме Элементы и методы управления человеческими ресурсами. Оптимизация эффективного управления человеческими ресурсами
Реферат по теме Страхование средств железнодорожного транспорта
Эссе Теория Эволюции Биология
Курсовая работа: Сотрудничество и сотворчество педагога и учащегося
Реферат: Экономическая безопасность и антикризисная деятельность предприятия
Контрольная работа: Банківська система та пропозиція грошей
Курсовая работа: Бюджетная система РФ 2
Контрольные Работы По Физике 7 Класс Белага
Курсовая работа по теме Методика анализа доходов и расходов предприятия по видам деятельности
Сочинение На Тему Чистый Воздух Победил
Сочинение По Тексту Бондарева Поздним Вечером
Реферат по теме Разновидности медоносных растений
Реферат: Атеизм К. Лыщинского
Реферат На Тему Історія Фахової Соціальної Роботи В Україні
Сочинение по теме Творческий путь Ивана Шмелева
Реферат по теме Антимонопольная политика РФ, значение и проблемы
Контрольная Работа На Тему Имя Существительное
Виды Стартов В Беговых Дисциплинах Реферат
Курсовая работа по теме Расчет потребного количества запчастей, шин, АКБ, ТСМ, технических жидкостей, технологического оборудования и прочих материалов для АТП на заданную мощность
Учебное пособие: Методические указания по выполнению и оформлению квалификационной (дипломной) работы. Специальность 090102. 65 (075200) Компьютерная безопасность / Составители: Н. Ф. Богаченко, А. К. Гуц. Омск: ОмГУ, 2010. 23 с
Контрольная работа по теме Расчет технико-экономических показателей автозаправочной станции
Дипломная работа по теме Процесс обучения иностранному языку с применением информационных технологий
Реферат по теме Законодательные основы охраны труда
Познание Природы В Эпоху Средневековья Курсовая
Реферат по теме Культура викторианской Англии: основные направления развития
Дипломная Работа На Тему Формирование Корпоративной Кадровой Политики
Гоббс Сочинения В 2 Томах
Сочинение: Сказки Салтыкова-Щедрина
Дипломная Работа Стратегия
Сочинение Про Школу 9 Класс
Дипломная работа: Анализ системы бюджетирования на ООО "Тольяттикаучук"
Доклад: СО2 лазеры с внутрирезонаторным электронным управлением параметрами излучения
Реферат: Тарифное и нетарифное регулирование внешней торговли в Украине
Доклад: Gottfried Wilhelm von Leibniz
Реферат по теме Металлокерамические коронки



























































































