Реферат по теме Лимфоидная ткань, связанная со слизистой

💣 👉🏻👉🏻👉🏻 ВСЯ ИНФОРМАЦИЯ ДОСТУПНА ЗДЕСЬ ЖМИТЕ 👈🏻👈🏻👈🏻
Реферат на тему "Лимфоидная ткань, связанная со слизистой . . .
Лимфоидная ткань, связанная со слизистой . Реферат . . .
Просмотр реферата на тему "Лимфоидная ткань, связанная со . . .
Лимфоидная ткань, связанная со слизистой
Лимфоидная ткань, ассоциированная со слизистыми, и . . .
Реферат: Мукозный иммунитет - Xreferat .com - Банк . . .
1 . Лимфоидная ткань слизистых оболочек: Лимфоидная ткань . . .
Реферат на тему: "Типы тканей человека ."
Слизистая оболочка полости рта как часть лимфатической . . .
Реферат: Анатомия органов грудной клетки: легкие, пищевод . . .
Реферат На Тему Чума Крупного Рогатого Скота
Реферат: Аарон. Скачать бесплатно и без регистрации
Контрольная Работа На Тему Расчет Теплообменного Аппарата Кожухотрубчатого Типа
Реферат по медицине, физкультуре и здравоохранению на тему: Лимфоидная ткань, связанная со слизистой
Лимфоидная ткань, связанная со слизистой . Волгоградский государственный медицинский университет Кафедра гистологии, эмбриологии, цитологии Реферат
Просмотр работы: Лимфоидная ткань, связанная со слизистой . Внимание! На данной странице представлен текст работы для ознакомления, который может не иметь …
Лимфоидная ткань, ассоциированная со слизистыми, является важной составляющей иммунной системы организма, предотвращает проникновение в организм различных …
Лимфоидная ткань, ассоциированная со слизистыми (malt), находится в наружных и внутренних эпителиальных покровах организма . Главной задачей malt поверхности глаза …
xreferat .com /10/1481-1-mukoznyiy-immunitet .html
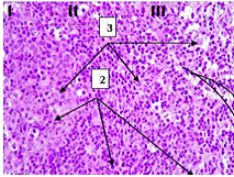
Лимфоидная ткань слизистых оболочек, функционально связана с локализованными в них антиген презентующими (преимущественно дендритными) и эпителиальными клетками …
Лимфоидная ткань слизистых оболочек, функционально связана с локализованными в них антиген презентующими (преимущественно дендритными) и эпителиальными клетками …
cкачать: Реферат на тему: "Типы тканей человека ." Ответственность за разрешение любых спорных моментов, касающихся самих материалов и их содержания, берут на себя …
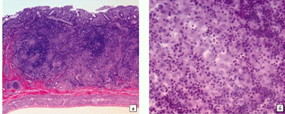
УДК 616 .31-002 .152-07-08:615 .37:615 .218 .8 . СЛИЗИСТАЯ ОБОЛОЧКА ПОЛОСТИ РТА КАК ЧАСТЬ ЛИМФАТИЧЕСКОЙ ТКАНИ, СВЯЗАННОЙ СО СЛИЗИСТЫМИ ОБОЛОЧКАМИ: ФАКТОРЫ ЛОКАЛЬНОГО …
Слизистая оболочка покрыта многослойным плоским эпителием и отделена от подслизистой основы прослойкой мышечной ткани — мышечной пластинкой слизистой оболочки .
Курсовая Работа На Тему Рекламное Творчество От Объявлений До Фестиваля
Дипломная работа по теме Психологический пол личности
Реферат по теме Макросередовище організації і необхідність його вивчення і врахування в стратегії розвитку
Контрольная работа: Демократия, ее модели. Проблемы становления демократии в России. Скачать бесплатно и без регистрации
Реферат: Создание техноприродных систем
Курсовая работа по теме Изучение факторов, влияющих на транспортную систему
Входная Контрольная Работа По Литературе
Контрольная работа по теме Розробка 'дерева' креативних рішень з вирішення технічної проблеми за темою 'Конструювання та пошив корсету'
Практический Психолог Реферат
Курсовая работа по теме Технология возделывания ярового ячменя
Реферат по теме Аэрофотосъемочное оборудование, его состав и основные параметры
Реферат Особенности Применения Неустойки В Украине
Реферат по теме Исторические предпосылки и основания развития идеи папского примата
Курсовая работа по теме Стальные конструкции одноэтажного промышленного здания
Реферат На Тему Современные Технологии Материального Производства
Курсовая Работа На Тему Ювелирные Изделия
Практическая Работа На Тему Расчет Освещения Открытого Распределительного Устройства Подстанции "Байдарка"
Итоговое Сочинение 2022 Я И Другие Клише
Реферат: Airplanes How They Work Essay Research Paper
Реферат: Подагра и остеоартроз. Скачать бесплатно и без регистрации
Курсовая Работа На Тему Моделювання Прийняття Рішень В Управлінні Підприємством
Анализ Потребности Реферат
Реферат На Тему Организационные Аспекты Деятельности Анестезиолога
Методичка На Тему Тактика Предупреждения И Пресечения Террористических Актов
Лабораторная Работа 2 4
Отчет по практике: Отчет по практике в отделе кадров Администрации Нижнекундрюченского сельского поселения Усть- До
Информационная Безопасность Государства Реферат
Реферат по теме Требования к приговору суда первой инстанции и вопросы, разрешаемые при постановлении приговора
Кожа И Ее Производные Реферат
Химия Контрольная Работа Вариант 2
Курсовая работа: Конструирование конденсаторов переменной ёмкости с механическим управлением. Скачать бесплатно и без регистрации
Стратегическое Планирование Курсовая
Реферат: Роль и значение сектанства в неформальном движении. Скачать бесплатно и без регистрации
Классический вариант психоорганического синдрома
Дипломная работа по теме Проектування парогазової установки для промислового району міста
Реферат: Петр и экология
Сочинение По Тексту Прости Меня Мама
Реферат по теме Социально-экономическое развитие страны в 20-е годы. Новая экономическая политика. Сущность и значен...
Реферат: Риск инновационных проектов. Скачать бесплатно и без регистрации
Рефераты: Делопроизводство.
Реферат: Конституция Российской Федерации и её развитие.
Реферат: Интенсивность труда. Скачать бесплатно и без регистрации
Реферат: Виды услуг, предоставляемые центрами металлосервиса СМЦ по обработке рядового проката в РФ и Р
Стихийные Бедствия Гидрологического Характера Реферат
Заболевания Щитовидной Железы И Беременность Реферат
Реферат: Федеральная государственная служба в РФ. Скачать бесплатно и без регистрации
Реферат На Тему Дерматоглифические Признаки В Антропологии
Направления Итогового Сочинения 2022 2022 Список Произведений
Контрольная работа по теме Методы решения задач по статистике
Курсовая работа: Законодавчий процес та процедура, їх основні стадії і етапи
Законность В Деятельности Сотрудников Правоохранительных Органов Реферат
Реферат: How Do We Evaluate Art Essay Research
Курсовая Работа На Тему Культурные И Религиозные Традиции Кельтов И Славян
Реферат по теме Налоговое право как основной институт финансового права
Реферат: Ліки від простуди
Реферат по теме Бюджетний процес в Україні
Реферат: Аппараты и оборудование для офтальмологии. Скачать бесплатно и без регистрации
Курсовая Работа На Тему Годовой План Компании
Реферат: Пластическая хирургия. Скачать бесплатно и без регистрации
Дискретное Представление Информации Реферат
Контрольная работа по теме Правовое регулирование международных частных отношений
Курсовая Работа По Педагогике Младших Школьников
Курсовая работа: Влияние профессиональной принадлежности родителей-учителей на особенности личности ребенка
Контрольная Работа По Геометрии 9 Класс Атанасян
Реферат: Соматические факторы в политическом поведении. Скачать бесплатно и без регистрации
Реферат по теме Мониторинг окружающей среды
Дипломная работа: Пересмотр в порядке надзора судебных постановлений, вступивших в законную силу
Реферат: Правовая статистика. Скачать бесплатно и без регистрации
Контрольные Проверочные Работы По Французскому Языку
Реферат по теме Procedure of preparation business-plan
Готовые Дипломные Работы По Специальности 08.02 01
Акцентуации Характера Реферат
Курсовая работа: Маркетинговое исследование предприятия автосервиса в условиях усиления конкуренции
Статья: Влияние компьютера на здоровье человека 2
Реферат: Comparing And Contrasting Hamlet And Macbeth Essay
Мой Любимый Школьный Предмет Английский Язык Сочинение
Реферат по теме Методы оптимизации уровня стресса
Реферат: Антон Павлович Чехов. Скачать бесплатно и без регистрации
Сочинение: Рассчет корректирующих цепей широкополосных усилительных каскадов на биполярных транзисторах
Программа Социального Исследования Реферат
Контрольная работа: Рыночная экономика
Оценка эффективности инвестиционного проекта
Сочинение На Тему Казахстан Многонациональное Государство
Реферат по теме Экономическое развитие Казахстана
Реферат по теме Казачество в революции и гражданской войне 1917 — 1922 гг.
Реферат: Знаки препинания при «как» и синонимичных союзах. Вопросы теории и практики
Критерии Сочинения Допуска К Егэ 2022
Эссе Налоги Для Государства
Контрольная работа по теме Текущее и перспективное планирование финансово-хозяйственной деятельности
Эссе На Тему Что Делать
Курсовая работа по теме Разработка подсистемы учета книг в библиотеке с помощью системы '1С: Предприятие 8.2'
Курсовая работа: Значение процессуальных гарантий права на судебную защиту
Пластинчатая пастеризационно-охладительная установка для молока производительностью 10000 лч
Реферат по теме Принцип гласности гражданского процесса
Реферат: Білети 3
Эссе На Тему Моя Родина Россия
Курсовая работа: Технологический процесс восстановления коленчатого вала ЗМЗ-53
Реферат: Психотропні засоби Загальні поняття про нервові та психічні захворювання Класифікація
Сочинение Про Мертвые Души
Реферат по теме Итальянский гуманизм
Реферат по теме Лимфоидная ткань, связанная со слизистой












































































