Реферат: Кариес в стадии пятен

🛑 👉🏻👉🏻👉🏻 ИНФОРМАЦИЯ ДОСТУПНА ЗДЕСЬ ЖМИТЕ 👈🏻👈🏻👈🏻
Реферат: Кариес в стадии пятен - BestReferat .ru
Кариес - Реферат
Кариес в стадии пятна . Реминерализующая терапия
Кариес в стадии пятен - referat .bookap .info
Начальный кариес в стадии пятна - терапия деминерализации . . .
Реферат: Кариес зубов - BestReferat .ru
Кариес в стадии пятен - Allbest
Кариес в стадии пятна — лечение, клиника, диагностика
Кариес в стадии пятна, начальная стадия: разновидности . . .
Кариес в стадии пятна на эмали: ранняя диагностика, жалобы . . .
Курсовая работа по теме Расчет электрической передачи тепловоза
Дипломная работа по теме Основные бюджеты ОАО 'Российские железные дороги'
Курсовая Работа На Тему Развитие Торговых Отношений Между Республикой Беларусь И Российской Федерацией В Условиях Формирования Единого Экономического Пространства
Название: Кариес в стадии пятен . Раздел: Рефераты по медицине . Тип: реферат Добавлен 23:30:41 09 июня 2011 Похожие работы . Просмотров: 1905 Комментариев: 11 …
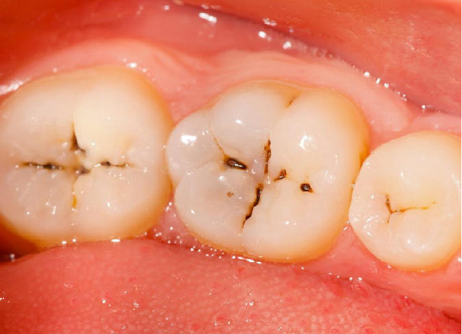
Кариес в стадии пятна . Очевидные различия имеют пятна при кариесе и эндемическом флюорозе . Это касается, как меловидного, так и пигментированного кариозного пятна .
Стадия пятна (macula cariosa) Кариес в стадии пятна (начальный кариес)-очаговая подповерхностная деминерализация эмали . Кариес стадии пятна - это начало …
Кариес в стадии пятен (реферат, курсовая, диплом, контрольная) История болезни Диагноз: зубы 52,51,61,62 — macula cariosa (кариес в стадии пятна)
Кариес в стадии пятна - это начальная обратимая стадия кариеса зубов, которая заключается в появлении на зубной эмали очагов деминерализации в виде белых пятен …
Кариес в стадии пятна . Очевидные различия имеют пятна при кариесе и эндемическом флюорозе . Это касается, как меловидного, так и пигментированного кариозного пятна .
Пятна не окрашиваются 2% раствором метиленового синего . 9 . Окончательный диагноз . Зубы 51,52,61,62 - macula cariosa (кариес в стадии пятна), Дата обследования: …
Кариес зубов в стадии пятна всегда можно предотвратить . Для этого нужно соблюдать несколько правил: Чистить зубы минимум два раза в день, выбирая качественную …
Кариес в стадии пятна белого цвета может поражать любой участок поверхности зуба . Пациенты чаще всего обнаруживают подозрительные видоизменения в зоне передних …
Налет в месте возникновения кариозных пятен образуется быстрее, практически сразу после приема пищи . Кариес в стадии белого пятна - обратимый процесс .
Рефераты По Литературе 9 Класс
Дипломная работа: Электроснабжение фермы КРС на 800 голов в ОАО "Петелино" Ялуторовского района Тюменской области с обеспечением нормативных условий надежности
Курсовая работа по теме Организация перевозок СПГ на направлении Ровно-Пермь
Реферат: Секс и вымышленные герои
Курсовая работа по теме Связь политики и нравственности у Абу Насра аль-Фараби
Реферат: Свобода по Фромму
Ответ на вопрос по теме Контрольная работа по философии
Каждый Человек Уникален Сочинение
Восприятие и понимание информации в процессе обучения
Дипломная работа по теме Правовые особенности осуществления социальных прав гражданами пожилого возраста и инвалидами в Российской Федерации
Человек Паук Сочинение На Английском
Найти Лабораторную Работу
Производственная Практика Парикмахера Отчет Заключение
Контрольные Работы Александр 2
Доклад по теме Экономика России
Контрольная работа: Разработка маркетинговой программы
Реферат: Региональные и местные бюджеты
Контрольная работа по теме Безопасность жизнедеятельности и охрана труда на производстве
Сочинение по теме Человек и биосфера
Курсовая работа: Мотив и цель преступления. Скачать бесплатно и без регистрации
Курсовая работа по теме Доход и прибыль предприятия
Доклад: Литература XIV века
Дипломная работа по теме Интернет-магазин с функцией форума по продаже товаров для художников
Сочинение Про Друга На Англ
Реферат: Влияние физических факторов на здоровье человека
Реферат: Эволюция, популяции и естественный отбор
Доклад по теме Болотов Андрей Тимофеевич
Курсовая работа по теме 'Девушка, освещенная солнцем' Серова
Контрольная Работа 4 По Математике 6 Класс
Контрольная Работа Электролитическая Диссоциация Окислительно Восстановительные Реакции
Реферат На Тему Зарождение Олимпийских Игр
Картинки Для Сочинения 4 Класс
Дипломная работа по теме Система материального стимулирования и фонда заработной платы
Дипломная работа: Перспективи розвитку Інтернет-маркетингу в Україні
Дипломная работа по теме Резервы и пути укрепления финансового состояния в ОАО 'Химпром'
Человек Не Мыслит Вне Общества Эссе
Скачать Собрание Сочинений Станюковича
Реабилитация При Деформирующем Остеоартрозе Реферат
Реферат по теме Практические смыслы педагогической науки
Курсовая работа по теме Таможенная экспертиза мяса и мясных субпродуктов
Реферат: Динамическое распределение памяти
Реферат: Ответственность по таможенному праву
Без Табигать Сакчылары Сочинение 4 Класс
Дипломные Исследования
Сколько Слов Надо На Сочинение Егэ
Курсовая работа: Сущность эластичности спроса в условиях рынка
Оформление Школьного Реферата
Реферат На Тему Закон Об Образовании
Курсовая работа по теме Лісовозні автомобілі
Курсовая работа: Геополитические особенности взаимоотношений МЕРКОСУР, ЕС и НАФТА. Скачать бесплатно и без регистрации
Понятие об эксергии. Уравнение Гюи-Стодолы
Реферат На Тему Анестезия При Сопутствующих Заболеваниях Органов Дыхания
Реферат Па Беларускай Литературы Пра Калядные Песни
К Какому Стилю Относится Сочинение
Обложка Для Дипломной Работы Купить
Контрольная работа: Значение труда в уголке природы для развития личности ребенка с отклонениями в развитии речи
Реферат по теме Риски в Антикризисном Управлении
Контрольная работа по теме Использование кириллицы или латиницы в Казахстане
Курсовая Работа Желчегонные Средства
Сочинение По Картине Портрет Мила
Создание и внедрение мембранного аппарата
Сочинение На Тему Любовь В Романе
Эссе На Должность Руководителя
Реферат по теме Математическое моделирование и оптимизация элементов тепловой схемы энерготехнологического блока
Доклад: Паевые инвестиционные фонды ( ПИФы)
Эссе На Тему Метод Судзуки
Реферат: Down And Out In Paris And London
Реферат по теме Возврат (зачет) подоходного налога налоговыми органами: особенности 2022 года
Контрольная работа: Политические идеи Н.М. Карамзина
Контрольная работа по теме Образовательные потребности и мотивы, их функции, структура и развитие
Реферат: Мислення 6
Реферат: Зчеплені зі статтю генні хвороби
Реферат: Французская философия 18 века. Просвещение. Скачать бесплатно и без регистрации
Контрольная Работа На Тему Закон Харди-Вайнберга И Его Ограничения
Реферат: Моральное стимулирование работников
Сочинение Иван Быкович
Технология Организации Сюжетно Ролевой Игры Реферат
Отчет по практике по теме Монтаж и обслуживание оборудования телекоммуникаций
Как Оформить Дипломную Работу Образец
8 4 5 7 Контрольная Работа
Сочинение: Сопоставительный анализ фразеологизмов с анимализмами в немецком и русском языках
Курсовая работа по теме Производство мясных рубленых полуфабрикатов
Оборудование Рефераты
Реферат: Лафибер, Уолтер Фредерик
Реферат: Chaos Theory Essay Research Paper Chaos TheoryWhen
Реферат: Проблемы участия Азербайджана в ВТО
Любовь К Родине Сочинение Егэ Солоухин
Сочинение: Стихи о войне. О. Берггольц
Реферат: Private School Vs Public School Essay Research
Фипи По Русскому Итоговому Сочинению
Реферат: Методика проведения исследования функциональной ассиметрии 20 Выводы по третьей главе 25 Синтетизированная технология дифференцированного обучения 26
Источники Гражданского Права Курсовая Работа 2022
Кино Туындыларының Түсірілу Жанры Эссе
Реферат О Культуре Великобритании 3 Класс
Реферат по теме Социалистический тип государства
Контрольная работа: Лизинг и стабилизация денежного оборота
Контрольная работа по теме Пищевая реология: основы методики расчета реологических характеристик, полученных на ротационных вискозиметрах
Контрольная работа по теме Маркетинг в розничной торговле
Контрольная работа по теме Автокредит. Особенности кредитования, сравнительные характеристики, способы снижения риска
Палочка Коха История Открытия Реферат По Медицине
Реферат: Кариес в стадии пятен






















































































