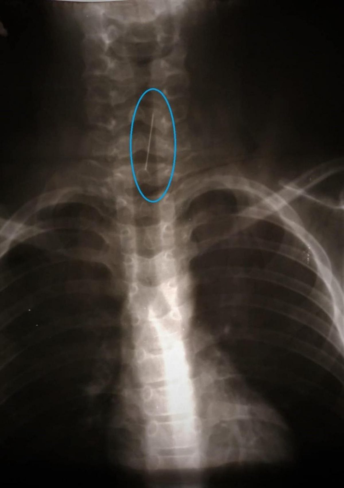
Ребенок проглотил или нет
Ребенок проглотил или нет 103 фотографий
Техноспарк 10 смартфон
Погода поселок первомайский забайкальского края
Анвап клон
Программа передач на 30 июля домашний
Каркасные полипропиленовые бассейны
Сдать анализы на энтеробиоз екатеринбурга
Засолка помидоров в желатине на зиму
Витамины с жидким коллагеном
Анука давайка новые рутуб
Фз от 13.07 2015г 218 фз





































































































