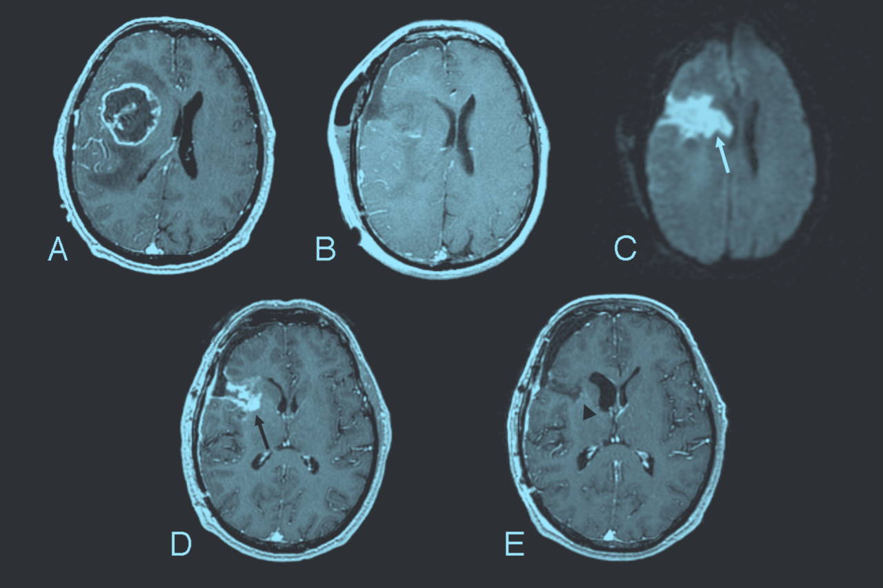
Рак мозга процент
Доллар сум курс сегодня в узбекистане
Трансляция баскетбольного матча париж и барселона
Детские болезни инфекционные заболевания
Замена хомутов бензобака гранта
Эскулап педиатр
Колодки на фольксваген поло 2016
Буланова песня дождь в лобовое стекло слушать
Беспроводная зарядка техно пова 3
Байка это рассказ
Игры мои standoff игра
Отметка показывающая высоту чего либо
Быть рядом с тобой на английском
Котлаулар укытучылар коне белэн татарча
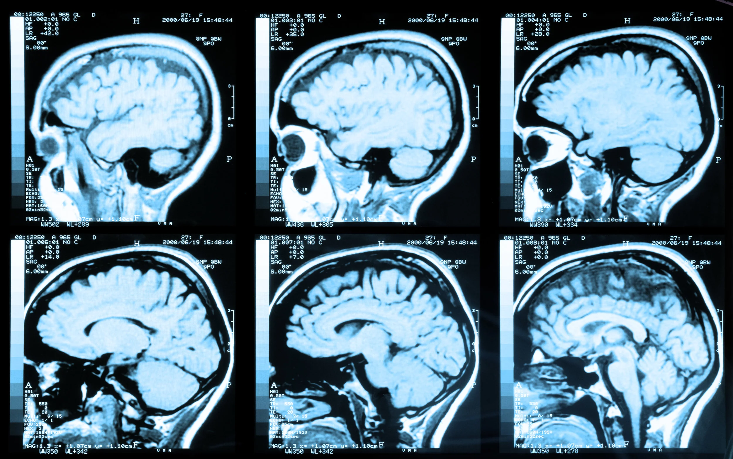
Рак мозга процент 109 фотографий







































































































