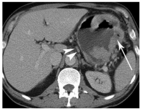
Рак Желудка Симптомы Фото
Рак Желудка Симптомы Фото 111 фото
Икеа Комоды Каталог Цены Фото
Мотовилиха Пермь Фото
Евгений Самойленко Усинск Фото 35 Лет
Горвиц Марк Наумович Ижевск Фото
Маникюр Амбрелла Фото 2026
Авито Велосипеды Фото
Финал Фэнтези 7 Картинки
Фото Юлии Высоцкой Сегодня
Картинки Древняя Одежда
Редкие Блэк Метал Фотографии











































































































