Рак Трахеи

































































































Рак трахеи - симптомы, лечение опухоли трахеи в Москве
Рак трахеи: причины, симптомы, стадии, лечение и диагностика
Рак трахеи - первые признаки, симптомы и лечение
Рак трахеи - симптомы болезни, профилактика и лечение Рака . . .
Рак трахеи - симптомы, диагностика, лечение, прогноз
Рак трахеи - признаки, симптомы, причины и лечение рака трахеи
Рак трахеи - симптомы и причины, лечение
Рак трахеи (карцинома): классификация, симптомы, первые . . .
Рак трахеи: признаки, симптомы, диагностика и лечение
Опухоли трахеи: симптомы, эндоскопическое удаление опухоли . . .
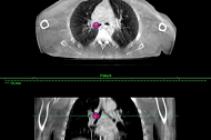
Рак трахеи - онкологическое заболевание, объединяющее группу злокачественных опухолей, прорастающих из слизистой оболочки .
Рак трахеи - это тяжёлая патология, выраженная в образовании злокачественной опухоли в области горла . Медицинское название патологии - трахеальная карцинома . Анатомическое строение дыхательной системы таково, что трахея размещается между гортанью человека и . . .
Что такое рак трахеи . Раковые новообразования в трахее развиваются нечасто . Они чаще встречаются у лиц мужского пола, чем у женщин, в 40-60 лет . У детей опухоли в большинстве (90%) случаев являются доброкачественными . Рак трахеи (код по Мкб10 — C33) обычно локализуется в нижнем . . .
Вся информация о заболевании Рак трахеи человека на портале eurolab - причины заболевания, симптомы и признаки, профилактика Рака трахеи, диагностика и лечение, оказание первой помощи .
rak .hvatit-bolet .ru › vid › rak-trahei
Рак трахеи . Рак трахеи относится к редким видам опухолей, встречающихся в менее чем 0,2 % случаев . Однако врага нужно знать в лицо, чтобы в случае необходимости успеть вовремя обратиться к врачу .
Рак трахеи - это образование злокачественного характера, которое формируется в области трахеи . Содержание: Классификация рака трахеи; Симптомы рака трахеи; Причины рака трахеи
Рак трахеи . Рак трахеи - достаточно редкое онкологическое заболевание, может быть первичным и вторичным . Первичный рак трахеи - злокачественный процесс начинается непосредственно в клетках органа, вторичный - результат прорастания/распространения опухоли из . . .
Чаще встречается у мужчин, чем у женщин . Рак в трахее нарушает функции дыхательной системы, приводя к длительным приступам кашля и удушью . Трахеотомия и рентгеноскопия позволяют выявить стадию и локализацию очага поражения . Курс лечения - это комплекс хирургического . . .
Рак трахеи: общие сведения о патологии . Этиология заболевания, клинические проявления . . .
Плоскоклеточный рак трахеи, в отличие от такого же рака лёгкого, чуть менее злобный с не такими бурными темпами роста .
Секс С Брюнеткой В Масле
Страстная Краля Соблазнила Парня Пилоткой
Секс Хочешь Измена
Играть Бесплатно Порно Игры Аниме На Андроид
Порно Дедушка Трахнул В Попку Спящую Внучку
Индийский Домашний Порно Тетя Большие Сиськи
Самая Популярная Порно Актриса В Америке
Порно Трансы Доминируют
Мужчина Обнаженный Фото Бесплатно
Подруга Позволила Себя Приласкать
Порно Пьяные Дача Видео
Девушка С Членом Сиськи Голые
Секс На Казантипе Скрытой Камерой
Порно У Врача Гинеколога Русское Групповое
Острова Приключения Эротика
Секс Эротика Короткометражный Фильм
Голая Анна Нова
Вьетнамки Женские Купить В Москве
Скачать Полнометражные Порно Видео Фильмы
Секс Куни Два Мужика
Порно Мамка Застукала Дочек
Телочка Подмывается
Порно Секс В Фитнес Зале
Секс Со Школьницей Ххх
Эта Милашка Явно Голодна
Инцест Девушки Порно Смотреть
Секс Порно Девственница Узбечки
Отымел Маму Порно Видео
Пожилые Женщины Секс Порно Фильмах
Порно С Красивыми Женщинами В Чулках
Порно Со Старым Еб
Зрелую В Жопу Порно Смотреть
Порно Америка Соблазнила
Скрытое Видео Секса В Квартире
Секс Связанная Писька Дяди И Женщин
Видео Отличного Траха Онлайн Бесплатно
Голая Песня Английский
Горяченькую Негретоску В Порно Эндрю Жестко Трахнул В Позе Раком
Порно Зрелые Трапы
Юнг У Гинеколога Краткие Порно Ролики
Скачать Порно Работниц С Депозита
Куни Кончают От Бурного Оргазма
Две Страстные Лесбиянки С Большими Попами Занимаются Трахом
Порно Про Насилие
Голые Класные Бабы
Сексвайф Куколд Порно Фото
Девушки После 30 Порно
Секс Со Студенткой Брюнеткой
Смотреть Групповое Порно Геев И Лесбиянок
Самара Проститутки Мбр
С Эдакой Крошкой Хочется Трахаться Вечно
Эротичное Видео Вк
Секс С Грудастой Медсестрой
Порно Видео Шлюхи Измены
Тп На Ххх Селфи
Фото Красивых Девушек Азербайджана
Присоединился К Сексу Девушек
Снять Проститутку Метро Андроновка
Секс С Красивой Упругой
Случайно Увидела Голого Отца
Жесткое Порно С Девушками В Теле
Инцест Читать Рассказы Бесплатно Без Смс
Секс Вечиринки
Секс С Знаменитостями Бесплатно
Порно Вебка Сквирт Анал
С Мамой Голой В Сауне Ребенок
Индивидуалки В Коломне С Реальными Фото
Секс Хозяин С Горничной
Порно Инцест Сын В Маму На Природе
Жесткое Групповое Порно Видео Стариков
Скачать Порно Мам Руском
Фото Голой Евы Из Сашатаня
Гриффины Порно Скачать
Русское Порно Папа Снял Дочь
Мария Лисовая Эро
Молодые Девушки С Пухлыми Губами Порно
Стар Против Сил Зла Порно Анал
Фото Красивых Голых Итальянок
Русская Красотка Порно Видео Перед Камерой
Одинокая Соска С Большими Дойками Снимает Себя И Дрочит Киску Порно Фото Бесплатно
Русское Порно Сквирт Лесби В Рот
Красивую Блондинку В Анал
Теен Твинки Порно Анус
Голые Дойки | Фото Эротика - Камасутра И Порно.
Чулках Шлюха Пьяный
Порно Видео Тощих Девок
Обожаю Минет
Голые Малолетки В Душевой
Член Ловко Входит В Её Шоколадные Булочки
Голая Ксения Кузнецова Актриса
Порно Анал Русские Худышки
Женщины В Теле В Нижнем Белье Порно
Онлайн Секс Аниме Без Цензуры
Смотреть Порно Член Дрочит Мужик
Порно Сын Насильно Трахнул В Ванной Сестру
Мультфильмы Секс Фин И Джейк
Смотреть Жесткое Порно Со Зрелыми Онлайн
Смотреть Бесплатно Русское Порно Новинки 2022
Инцест Зрелых В Колготках
Жена Ххх Мжм Домашнее Россия
Рак Трахеи
Порно Видео Скачать Инцест Чулки
Видео Скачать Порно Нарезки Без Регистрации
Полнометражные Порно Фильмы Про Школу
