Рак Слюнных Желез Фото

👉🏻👉🏻👉🏻 ВСЯ ИНФОРМАЦИЯ ДОСТУПНА ЗДЕСЬ, ЖМИТЕ 👈🏻👈🏻👈🏻
Рак слюнной железы: симптомы, прогноз жизни, фото, лечение . . .
Рак слюнных желез - симптомы, лечение, прогноз жизни, фото
Рак слюнных желез: симптомы, фото, прогноз
Аденокарцинома . Рак слюнных желез: что это такое, симптомы . . .
Воспаление слюнной железы: симптомы и лечение, фото
Рак слюнных желез - причины, симптомы, диагностика и . . .
Рак слюнных желез - причины, симптомы, диагностика и . . .
Рак слюнной железы: причины, симптомы, прогноз
PDF Злокачественные опухоли слюнных желез
Рак слюнной железы - Ayzdorov .ru
Красивая Зрелая Пизда Порно Фото
Вагон Номера Мест Плацкарт Фото
Любительские Интим Фото И Видео
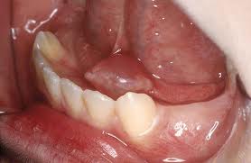
Рак слюнных желез встречается довольно редко . Злокачественный процесс может развиваться у детей и взрослых . При своевременном обращении, раннем выявлении, грамотном подходе в лечении прогноз патологии весьма . . .
Рак слюнных желез: основные причины, симптомы и методы лечения В настоящее время рак слюнных желез встречается не более чем у 0,5-1% пациентов, у которых были диагностированы онкологические . . .
gidmed .com › onkologiya › lokalizatsiya-opuholej › golova-i-sheya › rak-slyunnyh-zhelez .html
Рак слюнных желёз встречается редко, примерно у 0,5-1% пациентов с онкологическими заболеваниями, причём поражает одинаково и мужчин и женщин .Несмотря на редкость, данный тип рака особо опасен из-за плохой . . .
Расположение слюнных желез . Фото предоставлено flickr .com . Рассматривая в общем разрезе онкологические патологии, можно сказать, что аденокарцинома околоушной слюнной железы в этом ряду занимает практически последнее . . .
Симптомы воспаления слюнной железы, фото . фото 3 . Эпидемический паротит характеризуется острым началом, температурой тела 39-40° С . Наблюдается припухание околоушных слюнных желез с двух . . .
Рак слюнных желез - это редкая форма рака, при которой опухоль берет свое начало в клетках любой из слюнных желез . Рак слюнных желез чаще всего возникает в клетках околоушной железы, которая находится перед ухом . . .
Рак слюнных желез - редкое злокачественное новообразование, происходящее из клеток слюнной железы . Может поражать как большие, так и малые слюнные железы . Чаще всего располагается в зоне околоушной железы .
Рак слюнной железы: что включает в себя инновационное лечение рака слюнных желез, как распознать и предотвратить онкологию на ранней стадии, прогноз по стадиям .
Злокачественные опухоли слюнных желез Кодирование по Международной . . . 8941/3 Рак в плеоморфной аденоме . 8980/3 Карциносаркома . 8940/3 Смешанная опухоль, злокачественная, БДУ . . . .
Рак слюнных желез относится к редкому и малоизученному виду злокачественных образований . Данная патология в равной степени может поражать как мужчин, так и женщин в возрасте после 50 лет .
Чешуйчатый Лишай Фото
Снять Путану Милфу С Фото
Фото Анастасии Сиваевы
Киа Рио 3 Под Капотом Фото
Камаз С Прицепом Россия Картинки
Трегубова Горячие Фото
Ирландское Кружево Фото Схемы
Михайловна Людмила Васильевна Судья Курск Биография Фото
Как Сделать Картинку Заставкой
Фото Красивых Писек Крупным
Фиалка Ле Выпускница Фото И Описание Сорта
Передреев Виктор Васильевич 25.05 1968 Саратов Фото
Пиксельные Картинки В Тетрадь
Окрашивание Волос Теплые Тона Фото
Фото Моста Тауэр
Интерьер Кухни С Балконной Дверью Фото
Картинка Поперечного Среза Стебля Двудольного Растения
Сделать Красивые Фото В Поле
Подставки Для Досок Разделочных Фото
Картинки Другой Путь
Ющенко Виктор Фото
Фото Авария Автобус
Миронов Актер Фото
Кот Саймона Картинки Смешные
Длительная Укладка Волос Фото
Пальто С Сапогами По Колено Фото
Картинки В Стихах Позитивные
Зачем Женщина Выкладывает Разные Фотографии В Ватсапе
Модные Сумки В 2022 Году Фото
Ногти Молочного Цвета С Блестками Фото
Фиалка Призрак Фото И Описание
Картинки С Надписью Видео
Настя Каменских Фото В Купальнике Горячие
Скачать Картинку Девушка На Берегу
Золотая Осень В Городе Картинки Красивые
Трактор Желтый Фото
На Какой Картинке Изображено Испарение
Турецкая Гвоздика Сорта Фото
Новорожденные Ежики Фотографии
Стильный Маникюр На Ногтях Фото
Смешно Картинки С Надписями Анимация
Как Заставить Девушку Прислать Фото
Коричневые Стеклопакеты Фото
Скачать Картинку Фнаф 1
Откатные Ворота С Калиткой Фото
Бежевый Гарнитур Фото
Доброе Утро Картинки Для Инстаграмма Сторис Осень
Женщины В Трусиках Фото Бесплатно
Маленький Квадратный Коридор В Квартире Дизайн Фото
Заболевания Шеи Фото
Очень Мощный Проверенный Приворот По Фото
Фото Вариантов Окрашивания
Верхний Город Фото
Женская Проза Картинки
Памела Андерсон Горячие Фото В Молодости Видео
Зеленый Борщ Рецепт С Фото Пошагово
Загрузить Фото Девушки
Пежня Порно Фото 90 Х
Онлайн Перевод Фото В Цветное
Фото Приземлившегося Самолета
Фото Красивых Женщин 18
Холодильник Стинол 110 Фото
Жизнь Одна Фильм Актеры Фамилии И Фото
Фото Женщины 35 Sex Film
Картинки Гифки Смешные С Днем
Заюшкина Избушка Сказка Распечатать С Картинками
Домашняя Моль Разновидность Фото
Как Выбрать Фото В Инстаграм
Клининг Фото Для Рекламы Интересные Идеи
Фото Ачинска Красноярского Края
Джиа Каранджи Фото Перед Смертью В Хосписе
Самолет Абрамовича Фото
Картинки Красивой Дамы
Лягушка Из Природного Материала Своими Руками Фото
Фото Девушек В Стрингах Раком
Похожие Фотографии Яндекс С Телефона
Фото Внутри Рынка
Осипов Алексей Ильич Дети Жена Фото
Фото На Документы Томилино
Александр Дроздов Фото
Нежное Фото Девушки И Парни
Фото Полной Высокой Женщины Домашнему
Малина Полка Описание Сорта Фото Отзывы
Кристина Реутская Фото
Вкусные Треугольники Рецепт С Фото
Шурпа Со Свинины Пошаговый Рецепт С Фото
Корейские Пенки Фото
Обои Цвет Кофе С Молоком Фото
Яйца Широкого Лентеца Под Микроскопом Фото
Мелоди Маленькие Картинки
Кожевникова Горячие Фото Максим
Виктория Макарская Фото
Отдых Фото Мужа
Самое Большое Цунами В Мире Фото
Вставить Фото В Рамку Для Журнала
Женщины 71 Год Фото
Красивая Пантера Фотографии
Роза Балерина Фото И Описание Отзывы
Купить Поликарбонат Цена Фото
Слова В Нужном Столбике Раскрась Картинки
Рак Слюнных Желез Фото






























































































