Рахит Симптомы И Лечение Фото

🛑 👉🏻👉🏻👉🏻 ВСЯ ИНФОРМАЦИЯ ДОСТУПНА ЗДЕСЬ, ЖМИ 👈🏻👈🏻👈🏻
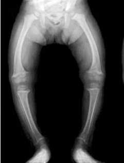
Рахит у детей (43 фото): что это, симптомы и лечение . . .
Рахит: симптомы и лечение, фото
Рахит - признаки, симптомы, фото, лечение и профилактика . . .
Рахит у детей: фото, признаки, симптомы и лечение
Рахит - причины, признаки, симптомы и лечение у детей
Признаки рахита у грудничков - фото, симптомы и лечение
Рахит - причины, симптомы, диагностика и лечение
Рахит у собак: фото, симптомы и лечение
Рахит у детей - симптомы и лечение, признаки фото, прогноз
Симптомы и профилактика рахита у взрослых - ortopeddom .ru . . .
Очень Частное Фото Жен
Фото На Пляже 16 Лет
Самые Красивые Леди Фото
Рахит у детей - диагноз, которого боятся . Что это такое? Так ли опасен рахит, как мы привыкли думать? Каковы симптомы и первые признаки заболевания? Как определить, есть ли у малыша рахит?
Вишня, шпинат и другие ингредиенты протеинового смузи без дорогих порошков Необходимо объективно взглянуть на ситуацию: как вести разговор с ребенком
Симптомы и признаки рахита . . . рахит: фото у детей . Лечение рахита . Если ребенку поставлен диагноз рахит, лечение начинают незамедлительно . Методы лечения можно разделить на специфические и . . .
Рахит у детей: фото, признаки, симптомы и лечение Обсудить Редактировать статью Как правило, совершенно здоровых детей очень мало .
Рахит - это такое заболевание, при котором происходит нарушение опорно-двигательного аппарата на фоне нехватки витамина d . Рахит, симптомы которого обуславливаются также нарушением обмена фосфора и кальция . . .
Если не начинать лечение в этот период, то рахит у грудничков прогрессирует, нарастают симптомы, затрагивающие внутренние органы и системы .
Рахит . Симптомы . Диагностика . Что делать при диагнозе рахит . Консервативное лечение и операции . Платные и бесплатные клиники, в которых лечится рахит .
Рахит у собак формируется в юном возрасте, поэтому важно обращать внимание на его симптомы . Но если уже болезнь началась - лечение нужно начинать сразу .
Рахит у детей: признаки, симптомы и лечение, прогноз . . . Именно в это время, рахит может проявляться различной степенью тяжести . . . . фото . Нарастает анемическая гипоксия и понижение . . .
Рахит и его последствия во взрослой жизни могут нести . . . в более зрелом возрасте его симптомы могут никак не проявляться и не выдавать себя . . . . После операции следует длительное лечение и . . .
Спирея Японская Красная Голдфлейм Фото
Печенье Ежики Фото
Частные Фотографии Альбом
Фотография Надо Красивая
Фото Классических Штор На Кухню
Тесто Рецепты С Фото Пошагово
Карина Шатворян Ростов На Дону Фото
Каролина Ковалькевич Горячие Фото Слитые
Как Убрать Расстояние Между Картинками В Css
Кабинет Министров Рф Фото
Картинки Красивые Кошка Фото Для Инстаграма
Отделка Кухни 6 Кв М Фото
Хорошего Дня Картинки Красивые Солнечные
Дженнифер Лопес Украденные Фото
Картинки Красивые Девушки На Большой Экран
Война На Донбассе Реальное Видео Фото
Наталья Кривозуб Фото
Прихожая В Доме С Лестницей Фото
Киа Сид Jd Фото
Барбарис Арлекин Фото И Описание Кустарника
Смотреть Эрот Фото
Сине Бело Золотое Фото
Новый Мокка 2022 Фото И Цены
Смешные Картинки Про Больных Простудой
Гардеробная В 1 Комнатной Квартире Фото
Х Фото Печать
Картинки С Днем Рождения Женщине Красивые Светлане
Юбилейные Рубли России Стоимость Каталог Цены Фото
Фото Одежды Карандашом
Доброй Ночи Картинки Мужчине От Женщины
Фото Пожилых Попа
Порно С Молодыми Рассказы С Фото
Вологда Сделать Фото На Паспорт
Голая Кошкина Слитые Фото
Галина Безрук Актриса Личная Жизнь Муж Фото
Али Баба И 40 Разбойников Картинки
Участок С Уклоном Планировка Фото
Голые Русские Мужчины И Женщины Фото
Юлия Барановская Бывший Муж Фото
Картинки Голые На Корточках
Картинки Святой Богородицы 14 Октября
Леруа Мерлен Бердское Шоссе Фото
Подарок С Фотографией Ребенка
Актеры Сериала Реальная Мистика Фото С Именами
Стиль Деревянного Дома Фото
Томат Яблонька России Описание Сорта Фото Отзывы
Серьги Желтое Золото Изумруд Фото
Вредители На Перце Фото И Чем Обработать
Как Скрыть Котел На Кухне Фото
Сделать Фото 3x4 Онлайн
Картинки Ночь Под Луной
Кухня Кноксхульт Икеа Серая В Интерьере Фото
Новый V Класс Мерседес 2022 Фото
День Рождения 64 Года Женщине Картинки
Платье В Пол С Рукавами Фото
Фото Сына Павла
Голая На День Рождения Фото
Картинки Собаки Рассел Терьер
Скачать Фото Очень Красивых Девушек
Соедини Картинки Со Словами
С Праздником Тренера Картинки Прикольные
Фото В Хорошем Качестве На Рабочий Стол
Порно Фото Аниме Черный Клевер
Сибас Рецепты Приготовления С Фото
Гелиос 40 2 1.5 85 Примеры Фото
Виноград Диевский Описание Сорта Фото
Мебель Отрадная Каталог Фото И Цены
Фрукт Дуриан Фото Википедия
Больше Сиськи Домашних Баб Фото
Картинка Овощи В Земле
Женщины Крупно С Голой Пиздой Фото
В Саратове Собака Пристрелила Хозяина Фото
Алла Витте Хакер Фото
Маникюр В Красно Черных Тонах Фото
Спальня В Бирюзовом Стиле Дизайн Фото
Красивые Картинки На День Рождения Дедушке
Голые Фото Каждый День
Интим Фото 15 Девушки
Котики Картинки Милые Игрушки
Аниховский Игорь Михайлович Белгород Биография Семья Фото
Бузова Сейчас И Раньше Фото Сравнение
Самая Старая Модель В Мире Фото
Полина Осетинская Дети Фото
Доброго Вечера Картинки Красивые Со Словами
Флаг И Герб Японии Картинка
Укусы Клопов На Теле Фото
Светлана Васильева Фото
Палец Болезней Фото
Современный Дизайн Балкона В Квартире Фото
Китайский Бассейн Фото
Лобовая Доска Фото
Фотографии Девушек Одинаковых Лиц 6 Фотографии
Картинка Красной Корзинки
Маникюр Омбре 2022 Осень Модные Тенденции Фото
Фото Красивых Домов Из Кирпича
Шоколадный Цвет Волос Фото Оттенки Холодный
Ашан Птица Фото
Марфушенька Душенька Фото С Бровями
Лидское Пиво Фото
Ожидание Картинки Прикольные С Надписями
Рахит Симптомы И Лечение Фото



















































:no_upscale()/imgs/2018/08/27/16/2364185/334809fc8497cac80937890f676e880468aff653.jpg)








































