Psoriasis
@differential_diagnosis1Psoriasis is a common chronic inflammatory skin disease that may exhibit a variety of clinical manifestations.

Clinical Presentation
Psoriasis occurs in a variety of clinical forms and may exhibit varying features based upon the affected body area.
Clinical subtypes
🔵 The major subtypes of psoriasis include:
●Chronic plaque psoriasis
●Guttate psoriasis
●Pustular psoriasis
●Erythrodermic psoriasis
Chronic plaque psoriasis, the most common subtype of psoriasis, is characterized by well-demarcated, erythematous plaques with overlying, coarse scale.

Other major subtypes of psoriasis include guttate psoriasis, which typically presents as the acute onset of numerous small, inflammatory plaques.

pustular psoriasis, which may present as an acute, subacute, or chronic pustular eruption

and erythrodermic psoriasis which exhibits cutaneous erythema and scale involving most or all of the body surface area.

Psoriasis involving intertriginous skin (inverse psoriasis), nails, and palms or soles can exhibit unique features.


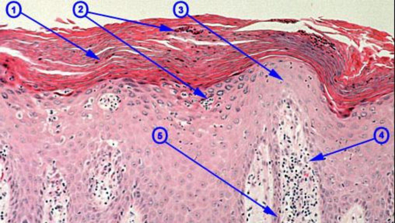
Histopathologic changes

DIFFERENTIAL DIAGNOSIS 👇
● Seborrheic dermatitis – Seborrheic dermatitis usually presents with erythematous patches with overlying scale . In individuals with dark skin, the erythema may be less visible. Both psoriasis and seborrheic dermatitis commonly involve the scalp, ears, and intertriginous areas. Features that support a diagnosis of seborrheic dermatitis include the characteristic fine, greasy scale typically evident in nonintertriginous locations and involvement of classic areas such as the eyebrows, nasolabial folds, central chest, or postauricular area. The presence of nail changes or characteristic changes of psoriasis in other areas helps distinguish psoriasis from seborrheic dermatitis.

● Lichen simplex chronicus – Lichen simplex chronicus describes skin changes that occur secondary to excessive scratching of the skin. An underlying cause of pruritus or scratching (eg, atopic dermatitis, arthropod bite, or psychologic disorder) is often present. Patients develop plaques of thickened skin that exhibit accentuated skin markings. Overlying scale or hyperpigmentation may be present. Sites where the patient cannot reach are unaffected. Lichen simplex chronicus can occur in combination with psoriasis when psoriasis lesions are very itchy.

● Atopic dermatitis – Atopic dermatitis is a common skin disorder associated with the development of pruritus and often excoriated papules and patches that may exhibit erythema, hyperpigmentation, or scale. Localized areas of skin lichenification (thickening) are common. The characteristic thick, coarse scale and sharp, raised, well-defined borders of psoriasis are typically absent. In older children and adults, atopic dermatitis tends to involve skin flexures. Infants often have facial or scalp involvement. Unlike psoriasis, the diaper area is typically spared.

● Nummular eczema – Nummular eczema (also known as nummular dermatitis) typically presents with well-demarcated, round plaques 1 to 10 cm in diameter. The plaques are often erythematous with overlying scale, crust, or small fissures and have indistinct borders, unlike psoriasis. The trunk and extremities are the usual sites of involvement. The face and scalp are spared.

● Superficial fungal infections – Superficial fungal infections (eg, tinea corporis, tinea pedis, cutaneous candidiasis) may present with erythematous plaques (with or without pustules) that may be mistaken for psoriasis. Nail changes related to onychomycosis can also be confused with nail psoriasis. A potassium hydroxide (KOH) preparation or biopsy can be useful for confirming fungal infection.

✏ Prescription sample (نسخه) 👇👇
1. Plague Psoriasis (نسخه)
Related Posts
1. Differential diagnosis of Atopic dermatitis
2. Differential diagnosis of Seborrheic dermatitis
3. Differential diagnosis of Nail psoriasis
