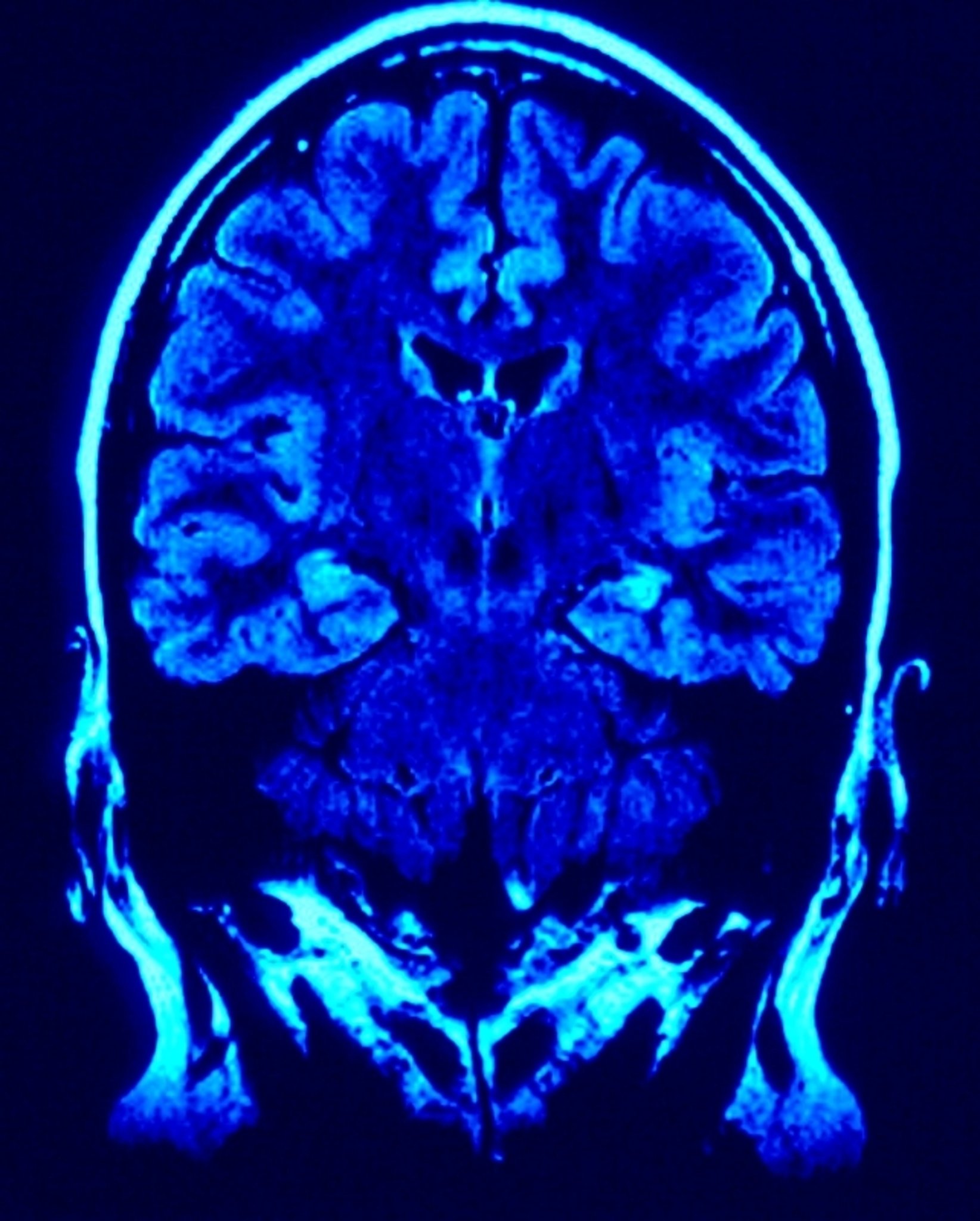
Психопатия мозг
Школа 1370 костромская
38 03 56
Гарантия на айфон 14
Основной метод лечения липомы средостения
Борцы играть
Хуньчунь храм
Что является наименьшей единицей живых организмов
Zip перевод на русский язык
Подготовка к впр 5 6 класс
Видео про посадки
Рассказ мой родной язык
Xeon 1630
Ответственные за в учреждении образования
Психопатия мозг 104 фотографий

































































































