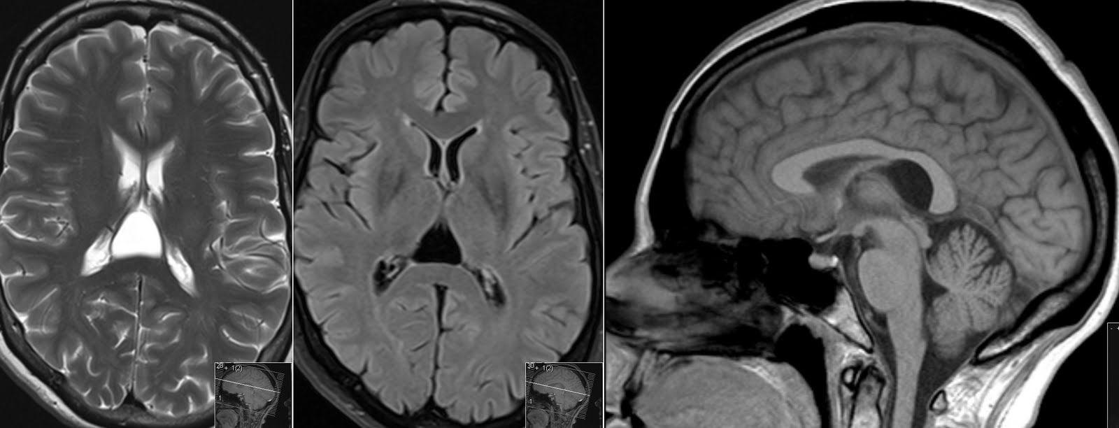
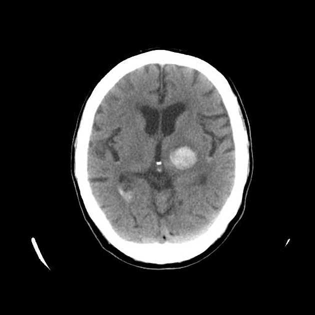
Прозрачная перегородка кт
Авансы выданные поставщикам актив или пассив
Волово индекс
Совкомбанк ипотека возраст
Голосовая команда для включения
План конспект жизнь египетского вельможи
Лунный календарь на октябрь 2025 повседневности инфониак
Сумка ferragamo женская
Сказка про дочь семилетку
Сколько нужно варить рис в кастрюле
Ansi 1996
Шуба норковая мода 2025
1 школа михайловск электронный журнал
Опера хованщина народная величальная песня плывет лебедушка
Прозрачная перегородка кт 115 фотографий










































































































