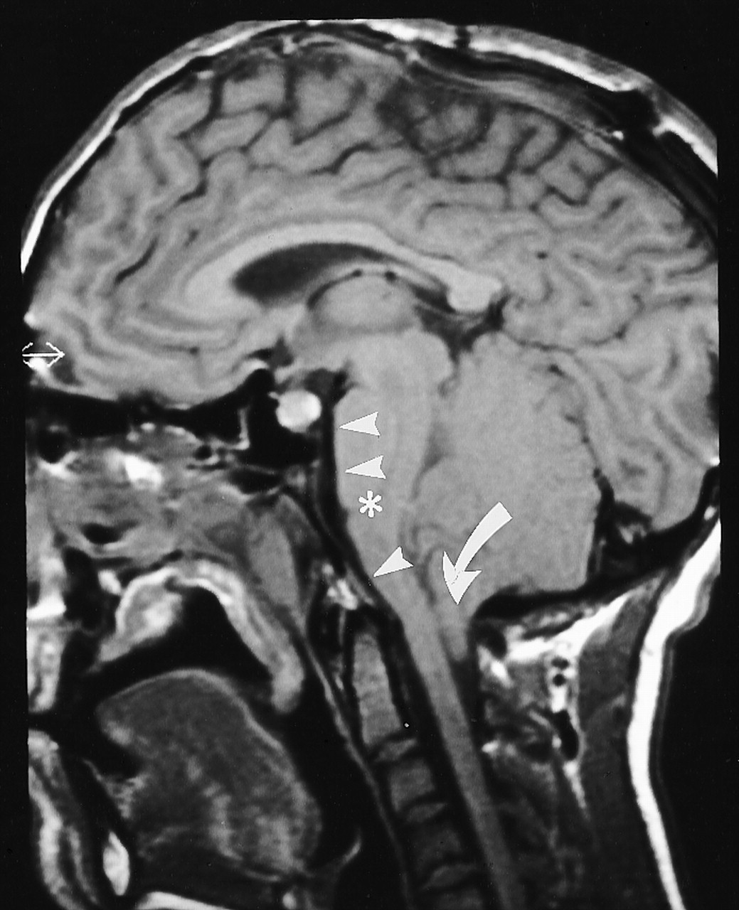
Признаки аномалии арнольда
59 фз 229
Все гулял и веселился песня
Нужно ли мыть картошку на зиму
Дивиденды в отчете об изменении капитала
100 г кекса
Выкройка брюки со складками
Учитель года алтая 2025
Клочкова оренбург
Ну что не загадала нет
Строганная доска на пол
Рейс из санкт петербурга в мурманск
Фамилия погодина
Proud mom
Признаки аномалии арнольда 109 фото











































































































