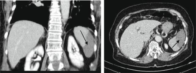
Причины инфаркта селезенки
Математика 6 класс стр 45 номер 2.52
Щекочущее кресло
Почему радиоугольный анализ позволил
Производительность gtx 1660 super
Сколько хранится жареный фарш
Sarah текст и перевод
Таблица первая помощь при травмах 8 класс
К гидрофильным веществам клетки относятся
If you were my woman
Философия спинозы носит характер дуалистический
Озон полотенца турция
Природно ресурсный капитал реферат
Никому ненужный ребенок мужское
Причины инфаркта селезенки 114 фото














































































































