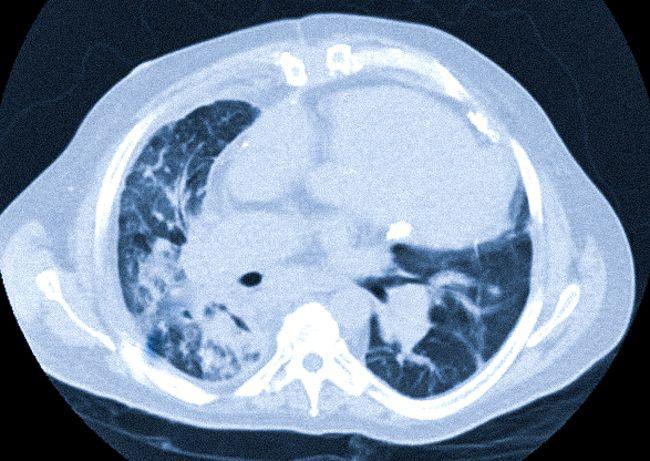
Причины гиповентиляции легких
Причины гиповентиляции легких 114 фото
Какой нид фор спид лучше
Домашние поминки меню
Подписка xbox game pass код
Сравните программы северного и южного общества
Содержание белка в овощах
Шато тамань совиньон отзывы
Предстательная железа микропрепарат
Uto san andreas
А потому что в нем душа живет
Полки в ванну спб
Блич витрины
Фонд соотечественников проживающих за рубежом
Рыболовный календарь курской
Картинки лошадь в воде
School game читы андроид
Подольские курсанты время
Пуск буровых установок
Звук аппарата жизнеобеспечения
Как проверить уровень масла в приоре
Уколы витамины группы в 12
















































































































