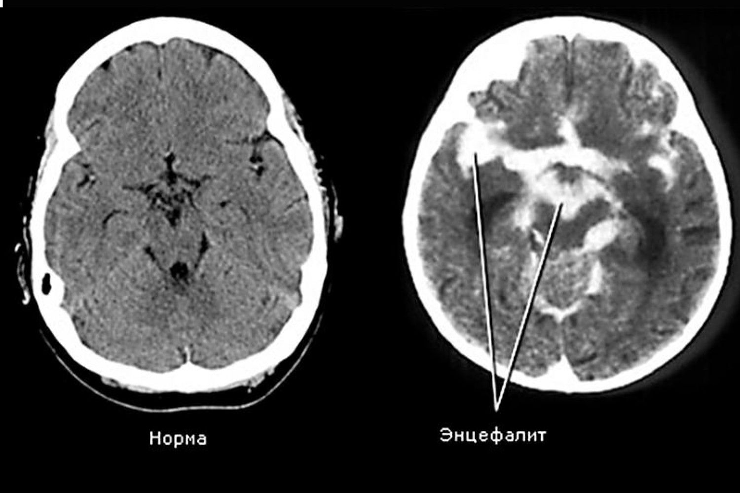
Поставив энцефалопатия
Поставив энцефалопатия 118 фото
Как подключить унитаз инсталляцию
Дракона новый год своими руками
Промежуточная аттестация в 1 классе по фгос
Причины температуры 37 6
Сонник крепко обнимают
Папка packages в local
Астма кашель по ночам
Расчет базисных функций молекул
Х калач на дону
Понизить сахар срочно


















































































































