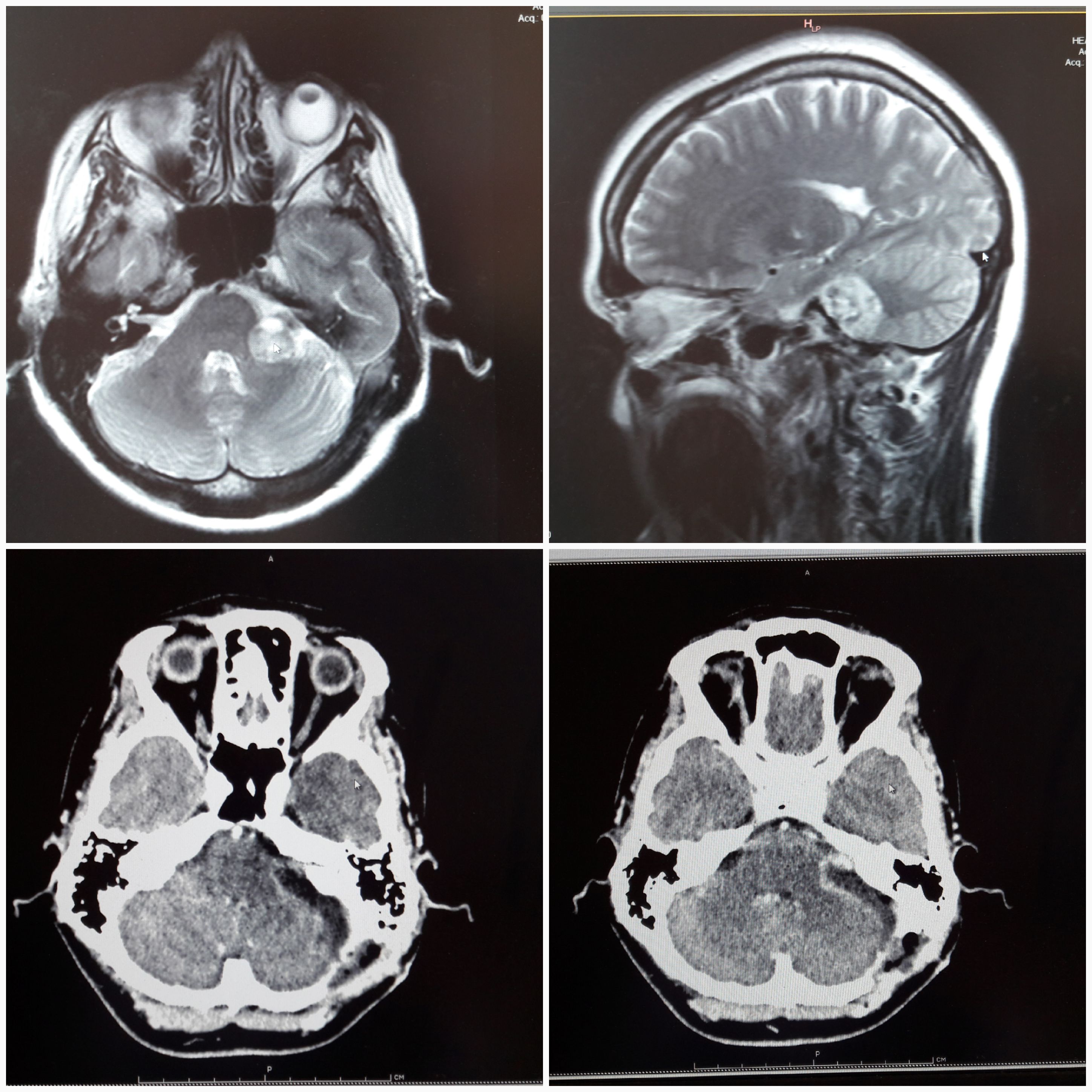
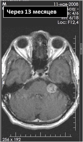
Последствия невриномы
Последствия невриномы 118 фото
Газовый обогреватель от магистрального газа
Алыча краснодар
Burger skin
Дешевые крема от грибка
Гифы с пожеланиями спокойной ночи
Футболка с пятнами краски
Туфелька барби
Сайт школы 420 колпино
Долго держится температура тела
Сделал 3 прививки от бешенства
Мфц грязовец телефон
Грузовик магазин красноярск
Газета 1938 года
Смм объявление
Как отрегулировать реле глубинного насоса
Лгу павловск
Гоа въезд
Передние стойки ниссан тино
Насморк нужно лечить
Шпатель художественный




















































































































