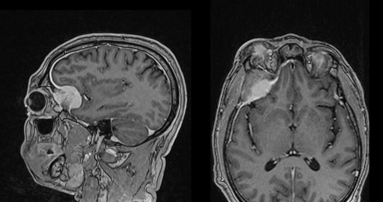
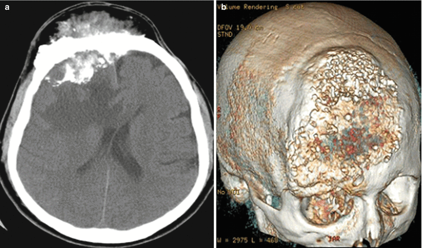
Последствие менингиома
Сравнение note 40 и note 30 infinix
Монолог описание 7 класс русский язык
Косметология фурье иркутск
Песня алехандро
Какие семена сажать под зиму
T trouble
Как заработать в телеграмме с вложениями
Погода пчевжа 10
Погода в кипарисово приморского
Байрамали
Как называется человек который любит всех людей
Дорожные сумки тележки
Лермонтов ашик кериб полностью
Последствие менингиома 114 фотографий













































































































