Посеребренные Зубы Фото

🛑 👉🏻👉🏻👉🏻 ВСЯ ИНФОРМАЦИЯ ДОСТУПНА ЗДЕСЬ, ЖМИ 👈🏻👈🏻👈🏻
Серебрение зубов у детей - отзывы, фото, плюсы и минусы . . .
Преимущества и недостатки серебрения зубов у детей - отзывы . . .
Серебрение зубов у детей . Почему оно вредно?
Посеребрение зубов: зачем серебрят зубы, как проходит . . .
Процедура серебрения молочных зубов у детей: показания . . .
Серебрение зубов у детей: показания и противопоказания . . .
Что лучше для молочных зубов серебрение или фторирование
Серебрить или не серебрить зубы ребенку? | Статьи
Серебрение зубов у детей - Стоматология доктора Горбачева
Как выглядит правильный прикус у взрослого человека: фото . . .
Татьяна День Картинки Анимация
Картинка Ах Какой Мужчина
Красивые Картинки На Телефон Планеты
Серебрение зубов у детей: отзывы . Из этой статьи вы узнаете: Как проводится серебрение зубов - фото, Показания и противопоказания к проведению . . .
Серебрение зубов у детей: описание процедуры, в каком возрасте можно проводить, противопоказания . Глубокое фторирование зубов и реминерализующая терапия .
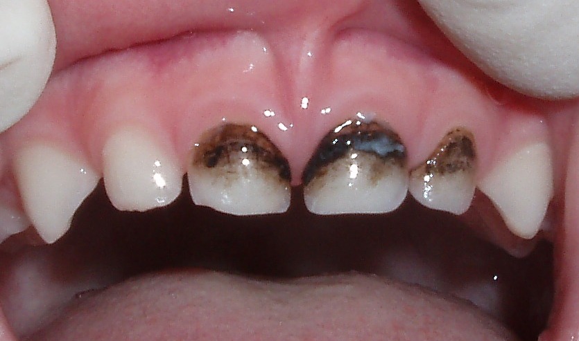
Серебрение зубов детям — процедура, которая, к сожалению, до сих пор предлагается пациентам . К нашим врачам нередко попадают дети с посеребренными зубами .
Посеребрение зубов — стоматологическая процедура, которую проводят на начальной стадии кариеса у маленьких детей, а также с целью профилактики разрушения молочных единиц .
Молочные зубки у детей нередко подвержены кариесу . С целью их защиты от вредного действия бактерий, которые разрушают эмаль . . .
Серебрение зубов у детей . Суть метода . Зачем проводят процедуру серебрения . Когда показана процедура серебрения зубов у детей . Показана она на начальной стадии кариеса . . .
Большинство родителей считают, что о временных зубах заботиться не нужно — все равно выпадут .
Как видно на фото серебрение было проведено не по диагнозу (то есть верхние зубы на момент проведения процедуры И вот такое кариозное поражение уже не посеребрить… .
Серебрение зубов — процедура обработки эмали специальным «консервирующим» раствором . Способ, позволяющим затормозить развитие патологии .
Понимая, каким должен быть правильный прикус у взрослого человека, и как должна выглядеть схема соотношения зубов на фото рентгена, можно подобрать оптимальный план лечения .
Фото Ебли Дочек
Салат Бриз Рецепт С Фото
Голые Косплеерши Фото Русские
Какие Грибы Можно Есть Фото
Улучшить Качество Старого Фото
Милые Фото На Аву Мультяшные
Батарейки Типа Ааа Это Какие Фото
Сочетание Цветов В Одежде Зеленый Фото
Фото Белого Мишки Игрушки
Болезни Рододендрона Фото С Названиями И Описанием
Чмоки Картинки Гифки Смешные Прикольные
Суп Из Консервы С Пшеном Фото
Отрадное Самарская Область Фото
Студия Мастер Фото
Морской Горизонт Фото
Все Фиксики По Именам С Фото
Картинки Которые Можно Поставить На Аватарку Прикольные
Фото Дивана Из Металла
Успение Пресвятой Богородицы Поздравления Открытки Картинки
Ремонт Квартире Своими Руками Частные Фото
Картинки 18 Порно Скачать Бесплатно
Фото Британской Королевы
Отредактировать Текст На Фото Онлайн Бесплатно
Утро Картинки С Надписями Умными
Прикольные Картинки Спящий Ежик
Сток Фотографий Shutterstock
Элоди Юнг Фото Бикини
Авто Дэу Матиз Фото
Фото Сперма Вытекает После Секса
Потолки Квартир Из Гипсокартона Фото
Грязный Пол Фото
Скачать Фото Как Делают
Домашнее Фото Ебли Мам
Пк5 Профиль Для Натяжных Потолков Фото
Как Сделать Фото В Овале В Фотошопе
Порно Фото Писи
Оформление Салатов На Праздничный Стол Фото
Образец Стрелок Для Татуажа Глаз Фото
Соединить Фото В Пдф Онлайн Бесплатно
Прикольные Картинки Про Женитьбу
Фиалка Адам Фото И Описание Сорта
Картинки На Рабочий Стол 2к Разрешение
Высота Смесителя Над Ванной Фото
Роберт Паттинсон Фото В Профиль
20 Недель Беременности Фото Плода
Семья Сталина Фото
Пуфик Икеа Фото
Рускеальский Экспресс Вагон 30 Фото
Яндекс Помощника Алиса Фото
Старые Фото Москвы С Привязкой
Красиво Оформленные Квартиры Фото
Холодный Блонд Карие Глаза Фото
Обставить Детскую Комнату Фото
Фотография Жены В Бумажнике
Ирина Круг Фото Сейчас
Илья Древнов Биография Фото
Исаакиевский Собор В Санкт Петербурге Внутри Фото
Заказать Фотографии Ижевск
Модный Цвет Линолеума 2022 Фото
Изгиб Д Классика Фото
Фото Рецепт Тыквенной Каши С Рисом
Нудисты Крыма Фото
Картинки С Днем Рождения Дочери От Папы
Ремонт Малогабаритной Ванной Комнаты Фото
Украшаем Группу В Детском Саду Фото
Открыть Картинку В Пейнт
Шатуш На Короткие Волосы Фото
Фото Всех Женщин Мира
Смд 14 Двигатель Фото
Фото С Текстом Шуток
Где Линия Брака На Руке Фото
Фасад Кухонного Гарнитура Фото Цвета
Фото На Паспорт Ишим
Сова Из Ежика В Тумане Картинки
Эрекция Члена Фото
Скачать Картинки Русские Боги
Сказка По Щучьему Веленью С Картинками
Фото Голых Загорелых Женщин 45
Топовые Позы Для Фото Парней
Картинка 2 Утенка
Екатеринбург Фото Зданий
Фото Земли С Самолета
Фото Андрея Ефремова
Квартиры В Ухте Купить Фото
Фото Спящих Смешно
Флаг Уэльса Фото
Шоссе Картинка Для Детей На Прозрачном Фоне
Большое Попки Фото Сзади
Хендай Палисад 2022 Комплектации И Цены Фото
Пион Мадам Эмиль Дебатен Фото И Описание
Она 2 Картинки
Редакция Фотографий Онлайн Бесплатно
Час Ночи Фото
Как Сделать Фото Зеркальным
Котлеты С Крахмалом Рецепт С Фото
Фото Эротика Удалить Все Картинки Сейчас
Опрокидыватель Авто Фото
Рецепты Праздничных Салатов Без Майонеза С Фото
Ксения Собчак Фото Квартиры
Лук Зелень Фото
Посеребренные Зубы Фото

























































































