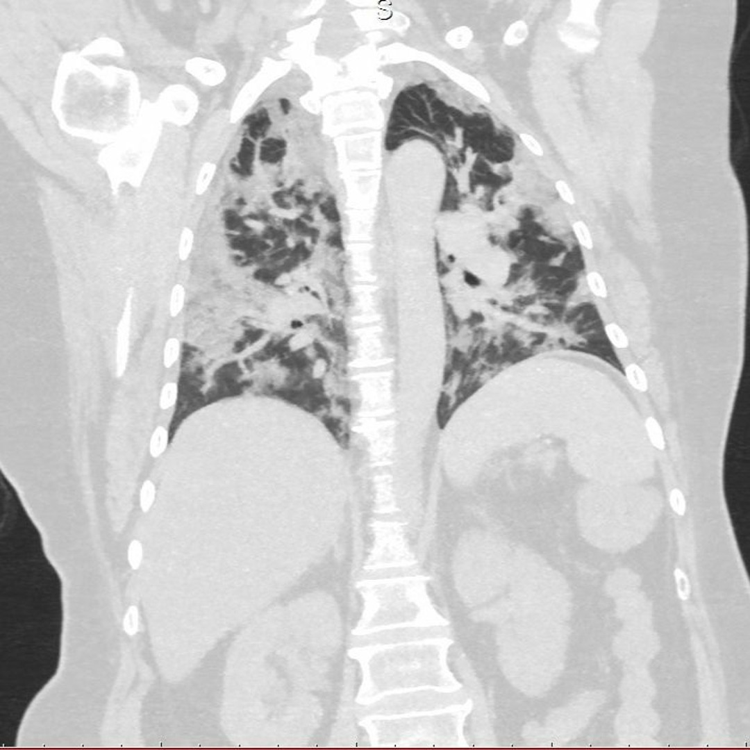
Поражение Легких При Коронавирусе Фото Рентгена
Поражение Легких При Коронавирусе Фото Рентгена 111 фото
Фото 6 Отдел
Дизайн Ногтей В Кофейных Тонах Фото
Жуки В Крупах Фото
Настоящий Самолет Фото
Перспективы Развития Картинки
Цветение Моркови Фото
Iphone Фото Яндекс Диск
Фото Доброй Ночи
Саранск 2026 Фото
Международный День Мытья Рук Картинки








































































































