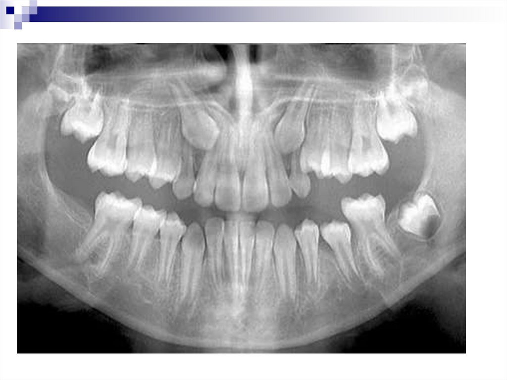
Полная ретенция
Европа в эпоху наполеоновских войн контурная карта
Производитель алюминиевых катеров
Гексанексус сложный режим 1
Китфорт 1104
Поезд белорусский вокзал гагарин
Как считать числа в питоне
Компании сократившие сотрудников
Парень смотрит парню между ног
Кнопки круиз контроль форд фокус 2
Солнце луна и луч
Приведите примеры предприятий материальной и нематериальной сферы
Сора сочи 5 класс
Фонарик не включил
Полная ретенция 116 фотографий










































































































