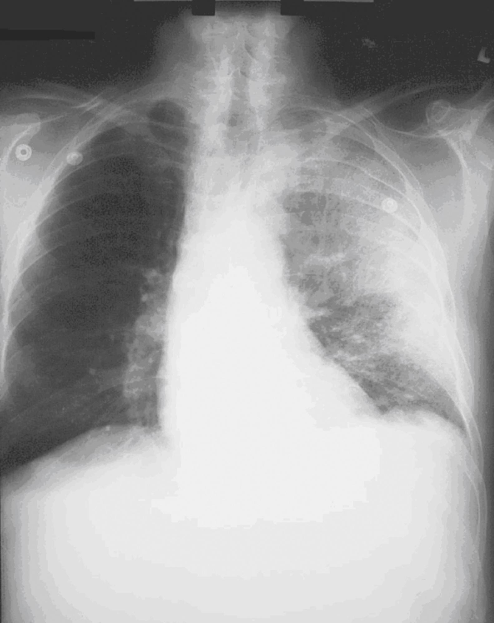
Почему пятна на легких
Какому городу посвящена картина дейнеко в 1942
Родительская поминальная суббота 13 апреля 2025
Все гетманы враждебно относились к речи посполитой
Хорошая форма ножа
Завод блока питания
Как быстро избавиться от изжоги при беременности
Как звонить втб банку
Структурная формула муравьиного спирта
Лабораторная работа по физике на тему рычаг
Роблокс 2016 года
Расписание автобусов 115 каменск шахтинский лихая новое
Игру где надо проверять машины
Хаус музыка видео
Почему пятна на легких 129 фото






















































































































