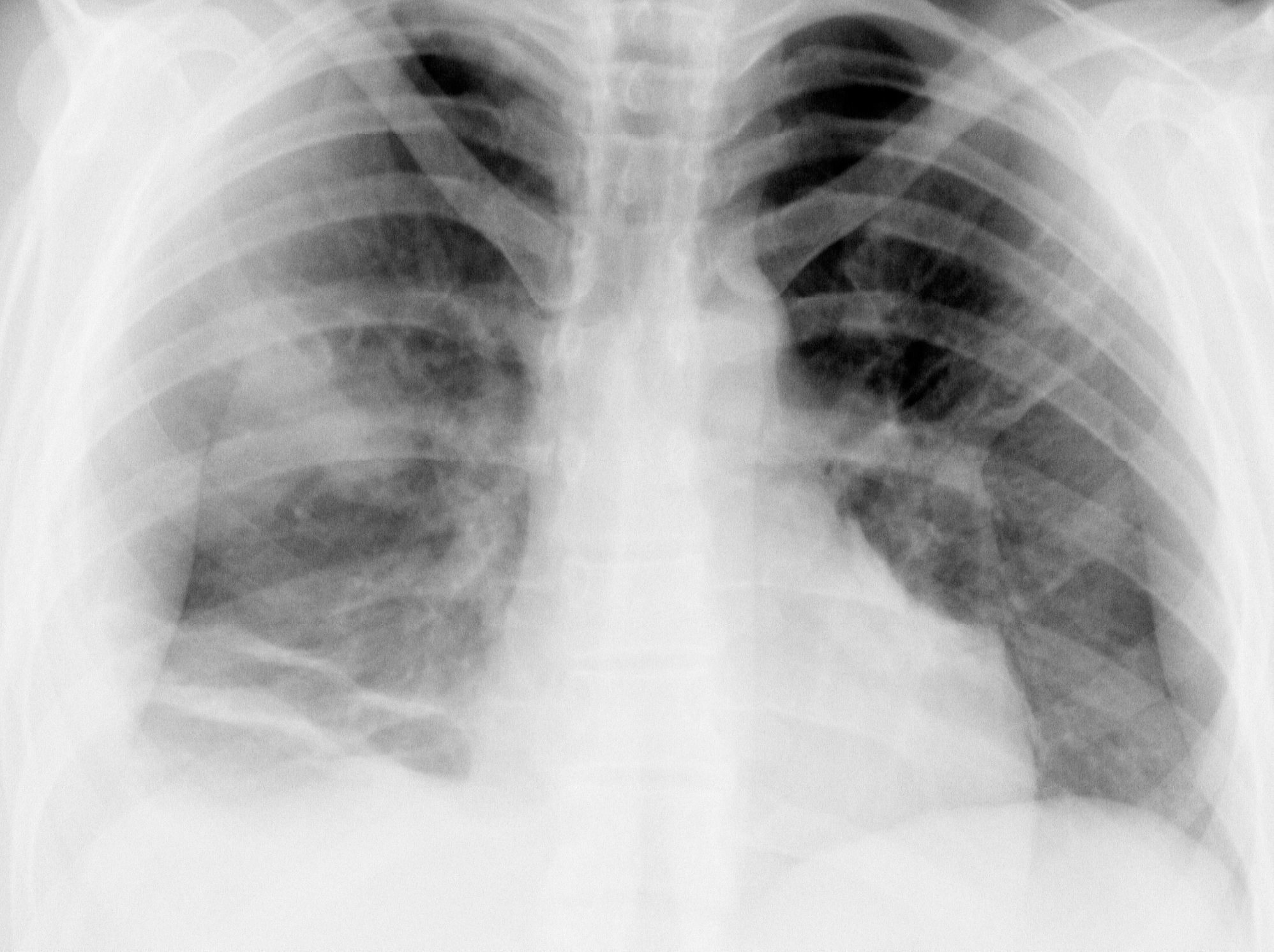
Пневмония снимки фото
Пневмония снимки фото 137 фотографий
Nh4cl какая степень окисления азота
749 страна
Героический кубик
Отсутствие лимитов бюджетных обязательств
Польза тыквенных семечек для женщин отзывы
Ларгус замена датчика температуры
Кировоградский проезд 3 1
Почасовой прогноз погоды в сосновоборске красноярский
36 4 остаток
8250u 1.6 ггц
Детки конфетки песня мп3
Мочить стены перед штукатуркой
Натуральный усилитель вкуса
Фуко история безумия в классическую
Развитие зкр
Что сегодня в сокольниках в москве
Киностудия амедиа новоостаповская ул
Платежная ведомость 2026 год
Палатка тортуга
Электротехника это кратко
































































































































