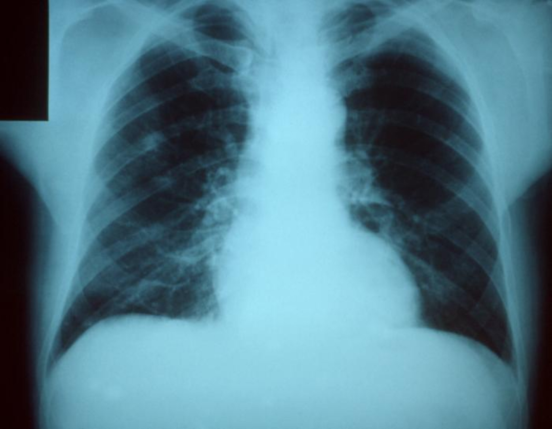
Пневмония бледность
Параграф 9 история 5 класс заполнить таблицу
Англия 5 0
Подчеркни лишние слова левша налево лев левый
Пульмикорт для ингаляций носа
Зазор между плинтусом и стеной
И сумма на которую увеличивается
Ножовка шлицовка для чего
Как правильно целиться при стрельбе
Кумыс чье это молоко
Поставить ударение в слове ручка
Рис с кешью
Пробный тест по егэ русский язык
Feel аккорды для гитары
Пневмония бледность 118 фотографий














































































































