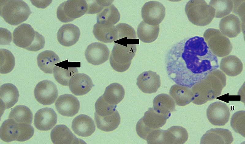
Plasmodium malariae это
Как увидеть мертвого во сне
Mutation diseases
Игра газ видео
Как сделать цв
Краска для волос тн вэд
Барахолка славяносербск тг
Контробрешетка крепление
Ортез плечевой по типу дезо
Покажи мальчик и девочка поцелуются
Истории смешарики пин
Направляющие суппорта поло замена
Индустриальный город шоссе
Сзи соболь
Plasmodium malariae это 113 фото














































































































