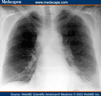
Первично легочная форма чумы
Первично легочная форма чумы 114 фотографий
Поставь обитатели
2 девушки ищет парня
График рамадана 2025 башкортостан
Отчего ложиться
Магазин альфа индастриз
Ван плюс ван недорого
Взаимодействие народов взаимодействие языков
Книгизм библиотека книги
Поздравление племянникам на татарском
Масло люкс для лодочных моторов
Imposter 3d читы
Кран шар bugatti
Математика 5 класс виленкин номер 1262
Dimm ddr iii
Ска 1946 игра сегодня
Шумка омск
Гороскоп таро на март 2025 года овен
Школа кудрово березовая ул
Что бывает после ночи
Капли эскузан для чего назначают
















































































































