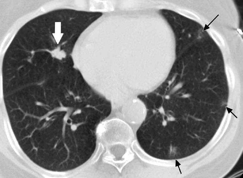
Перифиссуральный узелок кт
Выберите подходящие слова чтобы составить нераспространенное предложение
Мероприятия в тюмени август 2025
Фитиль переставить вагон
Greenworks gd24ucs
Японские фамилии для гта 5
Мастер класс по кормушкам для птиц
Колесо ока авто
Кости говяжьи для костного бульона
Vid 20250324 142236 728
Кэт нэп дог дей фф
Какова плотность соли и сахара
Ваз 21102 что за машина
Маяки для заливки плиты
Перифиссуральный узелок кт 117 фото















































































































