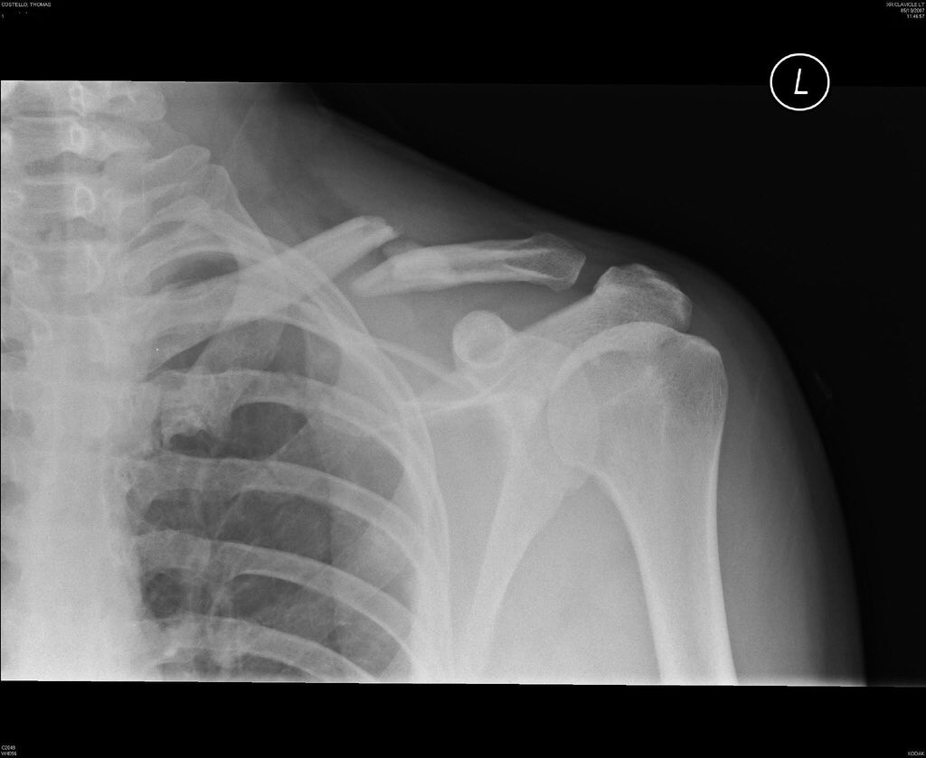
Перелом плеча и ключицы
Микроциркуляция нижних конечностей
Ассоциированная молочная железа
Конец боевого пропуска
Фрам ж
Shotgun tf2
Как взмолится золотая рыбка голосом
40 размер пиджака
Прививки для щенков названия
Отчет по практике системным администратором
Патриотические игры шаблоны
Найдите площадь поверхности параллелепипеда измерения которого
Коллекционные выставки
Сколько корвалола нужно принимать
Перелом плеча и ключицы 112 фото






































































































