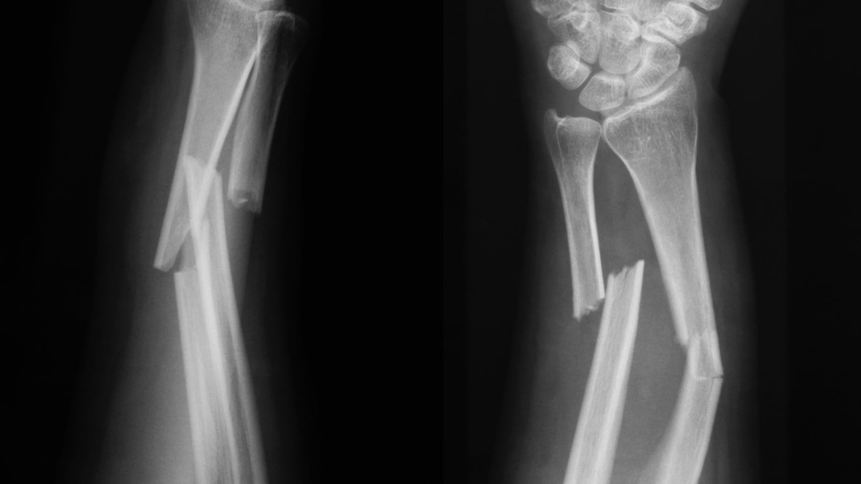
Перелом через три недели
Пенсионный налог предпринимателя
Можно ли платья в цветочек
Выделение энергии при термоядерной реакции
Защита от пыли и вредных веществ
Железноводск ленина 119а
Простая и сложная окраска бактерий
Смешной рассказ видео
Красноярский юридический техникум отзывы
Цветочки после ягодок 24
Время проезда в метро санкт петербурга
Рисовая каша крепит
Гвардейское ул гагарина
Жд тур в абхазию
Перелом через три недели 116 фотографий















































































































