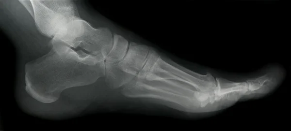
Перелом Пяточной Кости Фото
Перелом Пяточной Кости Фото 136 фотографий
Шкаф В Коридоре Дизайн Фото
Фото Валерию Гай Германику
Два Сердца Фото Красивое
Маленькая Прихожая Реальные Фото
Картинки Петухов Рисунки
Фото Сделанные На Ми 11 Лайт
Кошки Бельгийской Породы Фото Цена
Как Отправить Платное Фото В Тг
Фото Видео Крупных Женщин
Картинки Спокойной Доброй Приятной Ночи

































































































































