Перелом Лонной Кости Фото

⚡ 👉🏻👉🏻👉🏻 ВСЯ ИНФОРМАЦИЯ ДОСТУПНА ЗДЕСЬ, КЛИКАЙ 👈🏻👈🏻👈🏻
Лечение перелома лонной (лобковой) кости таза - Популярная . . .
Переломы тазового кольца без смещения лобковых костей .
Перелом лонной кости таза: лечение и фото
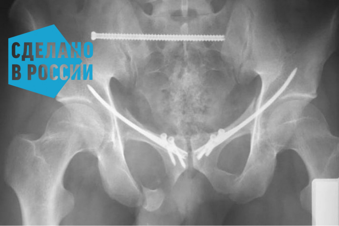
Остеосинтез перелома лонной кости штифтом с блокированием . . .
Перелом костей таза - Клиника травматологии и ортопедии
Перелом костей таза - причины, симптомы, диагностика и лечение
Публикации в СМИ | Переломы костей таза
Ушибы и переломы костей таза
Перелом лонной кости: симптомы, диагностика, методы лечения . . .
Реабилитация после перелома крестца и лонной кости
Фундамент Плита В Разрезе Фото
Спящие Письки Девушек Фото
Широкий Ламинат Фото
Перелом лонной кости таза обусловлен давлением гематомы в область мочевого пузыря и ушибом почек, в особо тяжелых случаях обломки кости пронизывают толстую кишку и важные детородные органы . В таком тяжелом случае назначают немедленное оперативное . . .
Как было упомянуто ранее, переломами костей таза со смещением являются двойные переломы, пересекающие тазовое кольцо, или перелом в сочетании с вывихом . В норме связки лонного симфиза допускают движения от 0,5 до 1 мм .
Перелом лонной кости таза является одним из самых тяжелых видов перелома, но поддается лечению . Лонная, она же лобковая кость находится в тазовой области . Симптомы перелома Чтобы понять . . .
Перелом костей таза . Нестабильные переломы ветвей лонной кости - достаточно частое явление при повреждениях переднего полукольца таза и, для более благоприятного клинического исхода лечения, требуют фиксации .
Перелом костей таза составляет 3% всех переломов . Их причинами могут быть дорожно-транспортные происшествия, сдавление таза вследствие обрушения и падение с большой Каждая безымянная кость образована тремя костями — подвздошной, седалищной и лонной .
Перелом костей таза - это нарушение целостности одной или нескольких тазовых костей . Местные симптомы включают боль в месте перелома, деформацию таза, видимое укорочение нижней конечности, нарушение движений ногами .
Переломы костей таза составляют 4-7% всех переломов . Классификация • Краевой перелом: переломы остей подвздошных костей, седалищных бугров, копчика, поперечный перелом крестца ниже крестцово-подвздошного сочленения, подвздошной кости • Перелом тазового . . .
Переломы костей таза . Причины переломов таза бывают разнообразные, чаще всего это: падение с высоты на бок или на область ягодиц, сдавливание таза при автомобильных авариях, обвалах, падении больших грузов на область таза .
Перелом лонной кости: особенности строения и травмы . Международная классификация, кто находится в группе риска и самые распространенные случаи травмирования . Способы лечения и как оказать первую помощь . Реабилитационные мероприятия, профилактические меры .
Среди серьезных травм опорно-двигательного аппарата наиболее проблематичным является повреждение заднего отдела тазового кольца . Его клинические проявления и варианты степени тяжести весьма многообразны: от перелома лонной кости до сложнейшей жизнеугрожающей . . .
Площадки Детских Садов Своими Руками Фото
Рисование Светом На Фото
Программа Фото На Диск
Ирина Бунина Актриса Фото Личная Жизнь
Картинки На Рабочий Стол Тату
Красноярск Река Енисей Фото
Улицы 90 Х Фото
День Журавлей 22 Октября Картинки
Том Уэллинг Фото С Женой
Разметелево Ленинградская Область Фото
Гриб Говорушка Восковатая Фото И Описание
Лягушка Картинки Для Детей Нарисованные
Фасад Дома Мраморной Крошкой Фото
Статусные Картинки Со Смыслом
Г Чирчик Фото
Новая Модель Лады Весты Фото
Утепление Балкона Пеноплексом Пошаговая Инструкция Фото
Субботнее Утро Картинки Гиф
Жду Принца На Белом Коне Картинки
Аквалоо Сочи Фото
Фото Черного Пояса
Серухи Грибы Фото И Описание
Галина Петрова Личная Жизнь Дети Фото
Баня Бочка Казань Фото
Жирные Бляди Раздвигают Ноги Фото
Таира Крымская Роза Пеларгония Фото И Описание
Метрогил Отзывы Фото До И После
Фон Для Траурного Фото
Фото Плитки В Прихожей В Квартире
Батарейная Улица Дом 2 Депо Картинка
Фото Фольксваген Т
Фото Большие Зрелые Голые Пизды
Любовь В Картинках Со Стихами
Голые Девки Фото И Видео Бесплатно Смотреть
Картинки Девушки Из Игры В Кальмара
Французский Кроп Мужская Стрижка Фото
Таисия Повалий Пластика До И После Фото
Фиолетовый Картофель Сорта С Фото
Фото Порно Хохлушек В Вк
Муж Веры Алентовой Фото
Картинки Зонтика Из 13 Карт На Аву
Моховик Гриб Фото И Описание И Похожие
Армения Фото Достопримечательности
8 Ребро У Человека Где Находится Фото
С Днем Рождения Дочери Картинки Красивые Анимация
Субботний Осенний День Картинки Гифки
Фото Свадьбы Игоря
Самогонный Аппарат Купить Фото
Фото Пульта От Телевизора
Картинки Животных Png
Фильм Надежда Актеры Фото
Ремонт Пластиковых Окон Картинки
Срочное Фото Бежицкий Район Г Брянска
Ленинград 50 Х Годов Фото
Очень Взрослые Фото Дам
Дизайн Ванной 7 Кв М Фото
Соня Темникова Горячие Фото Слив 18
Розовый Дом Картинки
Эндер Дракон В Реальной Жизни Фото
Курица В Желе Рецепт С Фото Пошагово
Меч Короля Артура Актеры И Роли Фото
Мангальный Комплекс Из Металла Фото
Надежда Кадышева Фото Без Грима
С Днем Рождения Женщине Картинки С Мужчинами
Как Приготовить Белковый Крем Фото
Браслет Фото На Руке Цена Золотого
Прикольные Картинки С Девушками Для Мужчин
Люди Икс Темный Феникс Фото
Дизайн Кухни С Газовой Колонкой Фото
Следки Простые Крючком Для Начинающих Схема Фото
Домашние Водопады Своими Руками Фото
Фото Катастрофы Александра Суворова
Картинки Антистресс Для Раскрашивания Для Детей
Фото Жуков Богомолов
Достопримечательности Испании Фото С Описанием
Фото Новой Весты Приоры
Скачать Картинку Осень В Городе
Фото Домашних Монстер
Бытовки Дачные Цена Фото Заказать Со Сборкой
Залы Зимнего Дворца Фото
Сочи Кухни Фото Цена
Фото Пошагового Приготовления Котлеты По Киевски
Порно Фото Яйца Транса
Вши Под Кожей На Голове Фото Человека
Сниму Порчу Сглаз По Фото
Беседка Из Бревен Фото
Нихан Из Черной Любви Фото
Сулугуни В Лаваше Фото Рецепт
Порно Фото Зрелых Женщин Азиаток
Нос Уточкой Фото У Женщин
Фото Новый Паук
Фото Авто 2022 Года Выпуска
Nikkor 35mm 1.8 Примеры Фото
Скачать Бесплатно Картинки Доброй Ночи Мультяшки Тикток
Рис С Мясом Фото
Коричневые Птицы Фото
Картинки Доктор В Маске
Софт Клауд Орхидея Фото
Как Заламинировать Маленькие Картинки
Источник Верхний Бор Тюмень Фото
Перелом Лонной Кости Фото















































































