Перелом Костей Лодыжки Фото

👉🏻👉🏻👉🏻 ВСЯ ИНФОРМАЦИЯ ДОСТУПНА ЗДЕСЬ, ЖМИТЕ 👈🏻👈🏻👈🏻
Перелом лодыжки | Фото до и после, операция, отзывы, лечение . . .
Все о переломе лодыжки
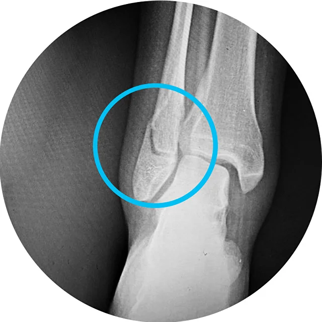
В статье рассмотрены рентгенограмма, КТ при переломе лодыжки .
Перелом лодыжек - причины, симптомы, диагностика и лечение
Перелом лодыжки . Лечение перелома лодыжки со смещением .
Переломы области голеностопного сустава
Перелом лодыжки со смещение и без: лечение, операция . . .
Перелом лодыжки
Перелом лодыжки — Официальный сайт ФГБУЗ КБ №85 ФМБА . . .
Хирургическое лечение переломов лодыжек — от 39500 рублей . . .
Фото Трах Кончают
Частное Фото Сосет Хуй
Бабочка Крокодил Фото
Переломы лодыжек включают как простые переломы наружной лодыжки, которые позволяют ходить с полной опорой на травмированную ногу, так и сложные двух- и трёх-лодыжечные переломы, с подвывихом и даже вывихом стопы, требующие хирургического лечения и . . .
Все о переломе лодыжки . Самая часто встречающаяся травма голеностопа - перелом лодыжки . Наружная щиколотка является дистальным окончанием малой берцовой кости, которая Лодыжка - самая важная часть голеностопа, выполняющая функции стабилизатора .
кости выше синдесмоза • Перелом Фолькмана (Ирла): перелом латерального края «задней лодыжки» (заднего отдела большеберцовой кости): о 2 . КТ при переломе лодыжки: • Используется редко: о Позволяет подтвердить наличие перелома, плохо визуализирующегося . . .
Перелом лодыжек - это нарушение целостности лодыжек в результате травматического воздействия . Обычно возникает при подворачивании стопы кнаружи или кнутри . Проявляется болью, отеком, кровоподтеками, ограничением опоры и движений .
Перелом лодыжки — это один из наиболее частых видов травм, и он составляет до двух треть всех травм голени, и 21-23% по отношению ко всем травмам и повреждениям костей скелета . В зимнее время года, в условиях гололеда переломы лодыжек могут достигать размера . . .
doctor-orthoped .ru › travmy › perelom-golenostopa
Отдельно классифицируются: Переломы малоберцовой кости (наружной лодыжки) . Большеберцовой (внутренней лодыжки) . Особенность таких переломов в том, что иногда щиколотки как бы отрываются от костей голени: при подворачивании ноги, прочные связки . . .
Перелом лодыжки — это самое распространенное повреждения кости . Лодыжки - это дистальные отделы большеберцовой и малоберцовой кости . Строение голеностопа довольно сложное: он образован таранной костью и костями голени, которые связаны между собой . . .
Наиболее частым травматическим повреждением голени является перелом лодыжки . Полное или частичное нарушение целостности костной ткани не только ограничивает двигательную активность и выбивает из привычного жизненного уклада . . .
www .kb85 .ru › diagnostika-i-lechenie › perelom-lodyzhki
Перелом лодыжки — это один из наиболее частых видов травм, и он составляет до двух треть всех травм голени, и 21-23% по отношению ко всем травмам и повреждениям костей скелета . В зимнее время года, в условиях гололеда переломы лодыжек могут достигать размера . . .
Лечение перелома лодыжки в Клинике травматологии и ортопедии . Переломы области голеностопа и сопутствующие смещения — довольно частое явление . Причина большинства из них — незначительная травма в результате вращения .
Ежики Простой Рецепт С Фото
Размер Фотографии В Сантиметрах
Советский Рубль Фото Бумажный Крупным Планом
Виноград Шуня Описание Сорта Фото Отзывы
Кухни Каталог Фото Цены Готовые Новосибирск
Фото Около Мотоцикла
Бердск Дом Фото
Красивые Женщины С Челкой Фото
Картинки Для Заставки На Телефон Айфон
Ваз 217030 Фото
Маленькие Городки Картинки
Картинка Солдата Ссср
Владимир Кулеш Артист Фото
Ремонты 1 Комнатных Хрущевок Фото
Саша Солдат Пустовалов Фото
Порно Толстые Фото Вк
Картинки Цветы С Надписью Самой Любимой
Фото Девушки 14 Лет
Английские Семьи Фото
Ольга Арнтгольц Биография Фото С Мужьями
Фото Рисунка Зимы
Мастер Фото Ставрополь Официальный Сайт
Как Выглядит Эдвард Ферлонг Сейчас Фото
Нож Для Торта Фото
Фото Рта Без Лица
Порно Фото Раком Домашка
Ресторан Пушкин Меню С Фото
Как Удалить Фото С Экрана Блокировки
8 Месяцев Девочке Поздравления В Картинках Красивые
Яна Лукачер Фото
Корова На Бочке Омск Фото
Фото Тела Парня Без Лица
Добрый Вечер Анимация Живые Движущиеся Картинки
Набережная Уфы Фото
Iphone 6 S Фото
Улицы Питера Фото Красивые
Задание По Фотографии Онлайн
Фотографии Целующихся Парней
Мария Жиганова Актриса Фото В Купальнике
Доброе Утро Картинки Позитивные С Стихами
Картинка Раскраска Путешествие
Картинки Машины Бмв Черная
Скачать Бесплатно Все Порно Фото Певицы Натали
Кто Проедет Первый Картинки
Фото Темных Обоев На Стенах
Компьютер 5 Поколения Фото
Дизайн Однокомнатной Квартиры С Кроватью Фото
Фото Ануса Мамы Порно
Фото Девушек 80 Е Годы
Картинка Отношения Двух Людей
Модели 50 Женщины Фото
Внучка С Бабулей Картинки
Светлана Устинова Фото В Купальнике
Ксения Буравская Горячие Фото
3д Обои В Чебоксарах Каталог Цены Фото
Самые Красивые Места Сибири Фото
Как Удалить В Вк Фотографии Со Мной
Веселый Алфавит Картинки
Денис Гущин И Елена Подкаминская Фото
Нюша Эротические Фото
Дизайн Стен Зал В Квартире Фото
Скачать Фото Дани Подолянчика
Голые Русские Жены Из Одноклассников Фото
Тойота Хариус Фото Цена
Робокар Игрушки Картинки
Лунный Камень Фотографии
Рускеала Официальный Сайт Фото
Муж Ивлевой Элджей Фото
Самые Красивые Лошади В Мире Фото Цены
Сделать Ремонт В Комнате Недорого Фото
Гимназия 20 Фото
Новинка Шилака Фото
Блины Пышные Рецепт С Фото Пошагово
Эротика Фото Пышные Красивые
Iphone Программа Для Фото
Фото Милы Савицкой
Печать Фото Краснодар Восточно Кругликовская
Фото С Днем Рождения Без Текста
Табурет Кухонный Фото
Курская Область Номер Фото Адрес Проституток
Голые Девушки Стоящие Раком Фотографии
Окрашивание Airtouch Фото На Темные
Карта Фотографии Рабочего Времени Врача Узд
Артикуляционная Гимнастика Лопаточка В Картинках
Красивые Зубы Фото Женщины Металлокерамика
Кухня С Островом В Хрущевке Фото
Веселые Картинки В Туалет
Фото Голої Валі Карнавал Сиськи
Скачать Бесплатно Картинки Эротические 90х
Хаски Фото На Рабочий
Мария Кунах Горячие Фото
Животные Осенью Картинки Для Детей Раскраски
Стильный Коридор В Квартире Фото
Сайты Картинок В Хорошем Качестве Бесплатно
Фотографии Дома Правительства
Яна Выздоравливай Картинки
Поезд Москва Воронеж Двухэтажный Сидячий Фото
Кане Корсо Похожие Породы Собак С Фотографиями
Женщина Ждущая Идеального Мужчину Картинки
Кларнет Фото Музыкальный Инструмент Картинка
Перелом Костей Лодыжки Фото



























































































