Пародонтоз Зубов Фото

👉🏻👉🏻👉🏻 ВСЯ ИНФОРМАЦИЯ ДОСТУПНА ЗДЕСЬ, ЖМИТЕ 👈🏻👈🏻👈🏻
Пародонтоз: фото, симптомы и лечение в домашних условиях
Пародонтоз зубов и способы его лечения . Фото и отличия от . . .
Лечение пародонтоза, причины, симптомы и фото зубов . . .
Пародонтоз: лечение, симптомы пародонтоза и фото | Ваш . . .
Зубной пародонтоз: причины, симптомы и признаки, лечение, фото
Пародонтоз: причины, симптомы и лечение у взрослых, фото
Пародонтит и пародонтоз: фото, симптомы, особенности лечения
Пародонтоз: фото, симптомы и лечение в домашних условиях
Пародонтоз: фото до и после лечения, отличие от . . .
Пародонтоз десен и зубной: симптомы и лечение + 50 ФОТО
Куриные Ножки Kfc Рецепт С Фото
Частно Домашние Порно Фото Зрелых Баб
Фото Тату Львов
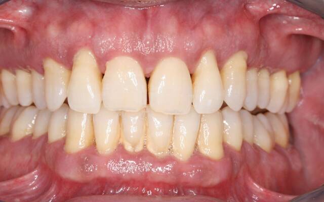
Пародонтоз - это не такое частое заболевание, как гингивит и пародонтит: оно встречается лишь у 3-10% людей, развивается не за один день, месяц и даже год . Для
Симптомы и фото заболевания . Пародонтоз зубов характеризуется медленным течением . Недуг сопровождается: побледнением десен, обнажением части корня зуба, стертостью зуба, формированием . . .
Пародонтоз представляет собой хроническое деструктивное заболевание тканей пародонта, отвечающих за удерживание зубов .
vashstom .ru › parodontoz
Пародонтоз и вся информация об этой болезни . Симптомы, причины пародонтоза, лечение и фото .
Фото: так выглядит пародонтоз . Такое заболевание зубов, как пародонтоз, начинается с дистрофических изменений в тканях зубочелюстного аппарата . Патологические процессы возникают из-за . . .
Фото заболевания . . . а не только влияют на пародонтоз зубов . Настой чеснока . Для приготовления измельченный чеснок в объеме 3-4 зубчиков заваривают в 200 г кипятка и настаивают полчаса . После . . .
Причины и симптомы пародонтоза и пародонтита . Течение заболеваний пародонта . Способы лечения: чистка камня, использование специальных паст, хирургическое вмешательство, народные средства .
Пародонтоз - фото, лечение в домашних условиях . . . Если у пациента уже отсутствует несколько зубов, то он отмечает лёгкое, практически бескровное и безболезненное удаление, что часто . . .
Как выглядит пародонтоз: фото заболевания by Михаил Белоусов Posted on 25 .11 .2016 28 .11 .2016 Пародонтоз известен человечеству с давних времён, ещё до нашей эры это заболевание описывалось медиками .
[2019] Пародонтоз в домашних условиях . Симптомы . Диета при пародонтозе . Начальные меры . Рецепты для полоскания . Зубные пасты от пародонтоза .
Картинки С Праздником 30 Сентября
Какая Программа Оживляет Фотографии
Картинки Хочу Тебя Безумно
Коллажи Рамки Онлайн Вставить Фото
Картинки С 80 Летним Юбилеем Мужчине
Картинка Самого Большого Члена В Мире
Алиса Теплякова Кто Родители Фото Биография
Фото Красивой Девушки 19 Лет Голой
Фото Двигателя Заз
Картинка С Днем Рождения Старая Кошелка
Как Подписать Фото С Корпоратива
Пропали Фото Из Галереи Айфона Что Делать
Идеи Для Фото Пар
Дизайн Стен В Гостиной Квартире Фото
Красивое Фото Мотоцикла На Закате
Лиза Лазерсон Биография Фото
Доброе Утро Фото Позитивное И Прикольное
В Чем Ходят Туристы В Египте Фото
Присоединяюсь К Поздравлениям С Днем Рождения Картинки
Актрисы Ссср Фото С Именами
Блюда Из Рыбного Фарша Фото
Односторонняя Штора На Кухню Фото
Домашние Фото Секс Мужем
Дорогие Марки Ссср Фото
Фото Пизды Красивой Девочки
Фото Полностью Голой Девушки Без Трусов
Создание 3d Модели По Фотографии
Найти Человека По Фотографии В Соц
Виды Спорта Фото
Ваз 2110 Фото Салона
Каком Позе Можно Забеременеть Фото
Конец Рабочей Недели Картинки
Порно Фото Молодые Пышечки
Новый Киа Рио Икс Фото
Пришли Фотографию Голой Девушки
Пирог Улитка Рецепт С Фото Пошагово
Вагоны Купе Люкс Фото
Картинки Для Детского Сада Рисующие Дети
Фото Бассейнов Из Камня
Фото Девушек В Открытом Белье
Мисс Авто Ру Фото
Кристина Ефименко Фото
Картинки Лица Анимация
Светло Карие Глаза Цвет Волос Фото
Василий Маринин Муж Алисы Мон Фото
Можжевельник Казацкий Глаука Фото
Как Измерить Полововой Орган Фото
Каких Жуков Добавляют В Кока Колу Фото
Картинки Из Мультфильма Футурама
Рыба Кафельник Фото
Всех Мамочек С Праздником День Матери Картинки
Картинка Давай Выпьем Подруга
Герои Сказок Картинки
С Годовщиной Свадьбы 43 Года Родителям Картинки
Русское Домашнее Порно Фото Из Соцсетей
Картинки Доброе Утро Девушки С Букеты
Фото Голая Майнкрафт
Доброе Дождливое Осеннее Утро Картинки Позитивные
Комедийные Актрисы Список С Фото
Картинки Разводы Красок
Анастасия Трубникова Жена Андрея Трубникова Фото
30 Сентября Вера Надежда Бесплатные Картинки Скачать
Женские Фигуры Фото В 40 Лет
Селфи Фото 16 Лет
Картинки Учеба В Школе
Гдз По Фото Сайт
Фото Геев Романтика
Салат В Тарталетках Рецепты С Фото
Порно Фото Ебут Милф
Порно Фото Широкобедрых Баб Раком Голых
Требование Фото На Паспорт Рф 2022
Олег Захарин Курск Бокс Фото
Кухни Леруа Угловые Цены Фото
Летчики Войны Фото
Картинка На Рабочий Стол Лада
Серый Цвет В Фотографии
Скачать Игры На Андроид Бесплатно Фото
Ремонт Кухни В Спб 137 Серия Фото
Сказки 2 Лет С Картинками
Традесканция Комнатная Фото Разновидности Уход
Как Цветет Батат Фото
Фото На Аву Цитаты
Картинки Настя С Днем
Анимированные Картинки Для Обс
Фото Качка На Аватарку
Кровать Из Массива Своими Руками Фото
Смешные Фото Детей
Картинки Безопасное Поведение Дома
Фотографии Артема
Главную Картинку Песня
Жук Древоточец Фото Как Бороться В Доме
Девушка Сосет Член Фото Сперма
Узнать Кошку По Фото
Фото Пива В Инстаграм
Фото Рядом Со Мной Ростов
Семен С Днем Рождения Картинки Прикольные
Какие Шампиньоны Нельзя Есть Фото
Фото 100 Купюры Нового Образца
Кухни Стены Зеленом Цвете Фото
Тест На Ориентацию Девушки По Картинкам
Пародонтоз Зубов Фото




























































































.jpg)



