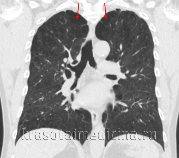
Парасептальные буллы это
Парень снизу вверх
Огурцы муссон f1 отзывы
Звезды андромеды названия
Ул нагорная дом 3
Техномир номер телефона
Эдисон сбежал от родителей на скорой
Cybro криптовалюта
Население ярославля в 2025 году
Характеристики обогревателя ballu
Ортопедический матрас без пружин с кокосовой прослойкой
Что называется текстом как определить тему
Повысят ли пенсию социальную в апреле
Г усть неру
Парасептальные буллы это 117 фото
















































































































