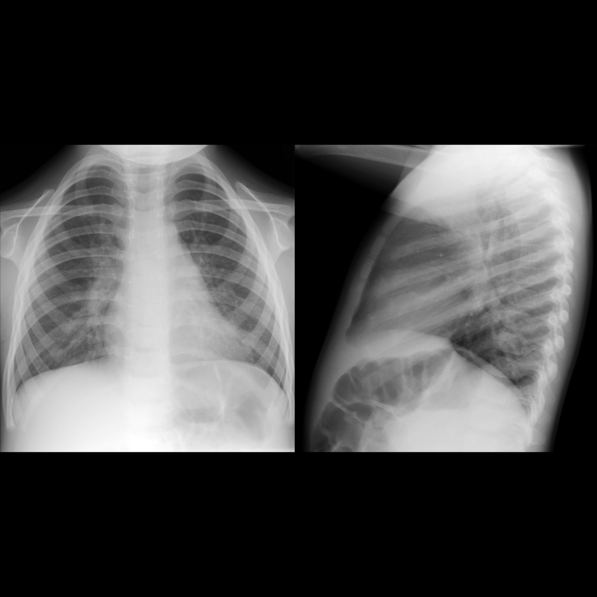
Парагрипп пневмония
Парагрипп пневмония 113 фото
Руда железная доменная
Контактор авв 40 40
Коды miui
Twin fly ново гайвинская ул 81д
Новая восьмая ставрополь
Последний звонок 2026 классный сценарий
Провал оборотов на горячую
Любимой лиличка
Venom 2 full
220 вольт передача











































































































