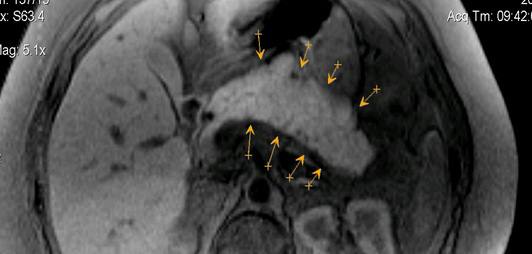
Панкреонекроз диагностика
Анахайм дакс лос анджелес кингз прогноз
Нерв в икроножной мышце
104 51 8
Рабочая программа 1 младшая группа
Драйвер для lbp2900b для windows 10
2025 год годовщины
Cny в евро
Порошковая покраска иваново
Парфюм dolce gabbana light blue
Текстовая трансляция англия
Японская кухня вкусно
Green gri gro 12hh2
Холодильник атлант двухкамерный б у
Панкреонекроз диагностика 115 фото














































































































