#PRO_X-Ray
Мати чотирьохрічного хлопчика, який скаржиться на кашель та лихоманку, звернулась до лікарні. При обстеженні температура тіла підвищена, тахіпное. Аускультативно над лівою легенею вислуховуються вологі хрипи.

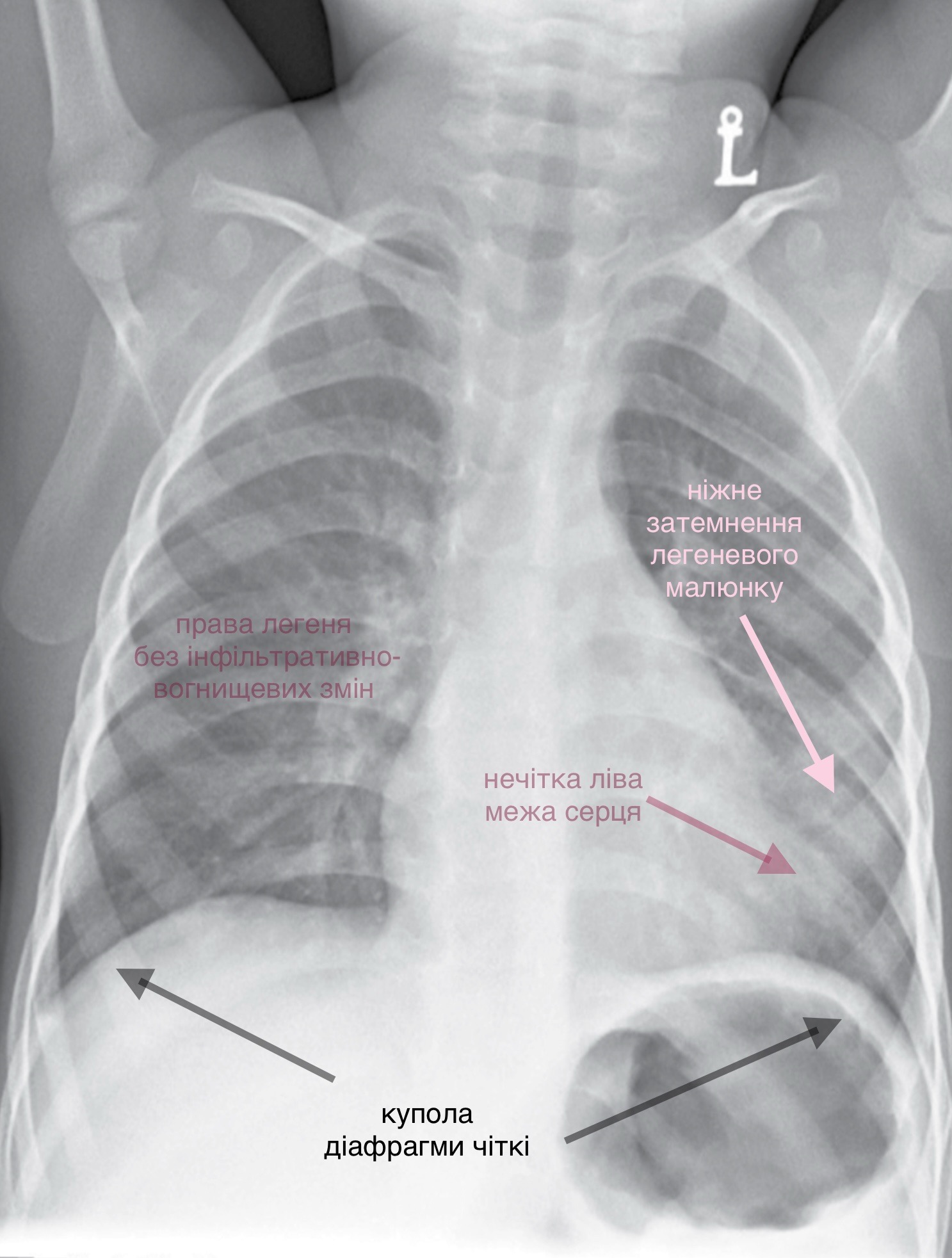
На дані рентгенограмі ОГК в прямій проекції пацієнт дещо ротований. Відмічається ніжне затемнення у нижніх відділах лівої легені. Ліва межа серця не чітка. Куполи діафрагми чіткі. Права легеня без інфільтративно-вогнищевих змін. Кістково-деструктивні зміни відсутні.

Висновок: на даній рентгенограмі спостерігається лівобічна пневмонія.
Виконала: Maria Melnychenko
Джерело: Джерело: The Unofficial Guide to Radiology, Mohammed Rashid Akhtar, Na’eem Ahmed, Nihad Khan 2017