#PRO_X-Ray
Чоловік 37 років, госпіталізований до терапевтичного відділення зі скаргами на підвищення температури тіла до 38-39 С, малопродуктивний кашель, дискомфорт та болі в грудній клітці зліва. Об‘єктивно: температура тіла 37,8 С, частота дихання 19 /хв, насичення крові киснем 96%, аускультативно ослабленне дихання зліва нижче кута лопатки, хрипи не вислуховуються.
З анамнезу хвороби відомо, хворіє приблизно два тижні, коли вперше підвищилась температура; лікувався амбулаторно - приймав антибактеріальні засоби. Анамнез життя не обтяжений, не палить, шкідливі звички категорично заперечує.


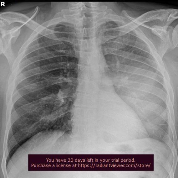
На рентгенограмі ОГК в прямій та боковій проекціях візуалізується рівномірне зниження повітряності у середньому та нижньому полі зліва, на бічній інтенсивне затемнення основою донизу в задніх та середньонижньому відділі ( від 4 ребра до заднього синуса). Легеневий малюнок незначно посилений. Корені легень структурні. Діафрагма без змін. Тінь серця та аорти в межах норми.
З метою уточнення діагнозу хворому було виконано КТ ОГК:

На КТ ОГК ознаки лівобічного осумкованого плевриту (позначено стрілкою), загальним розміром 10,4 х 11,6 х 17,7 см гомогенної щільності зі стінкою завтовшки 4-10мм, із суміжною компресією та субателектазом нижньої долі лівої легені.
Після отримання результатів КТ хворому було виконано діагностичний торакоцентез і було отримано гній. З метою подальшого лікування хворому було проведено дренування плевральної порожнини.
Висновок: у пацієнта емпієма плеври зліва.
Виконала: Maria Melnychenko