#PRO_X-Ray
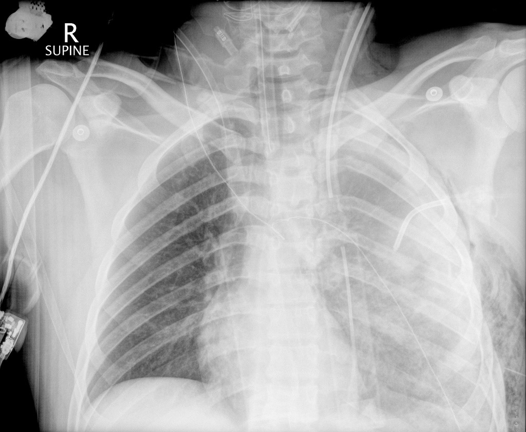
Чоловік 20 років, після дорожньо-транспортної пригоди на високій швидкості.

На рентгенограмі в прямій проекції в положенні лежачі спостерігається великий лівобічний гемоторакс. Середостіння імовірно зміщене вправо. Наявні двобічні переломи задніх ребер зі зміщенням. Підшкірна емфізема зліва. Катетер для дренування плевральної порожнини зліва у 2му міжребер‘ї.

Висновок: на рентгенограмі ОГК спостерігається політравма.
Підготувала: Maria Melnychenko
Джерело: https://bit.ly/35kMu5n