#PRO_X-Ray
Жінка 30 років, зі скаргами на задишку та кашель протягом 4х тижнів.


На рентгенограмі ОГК спостерігається зменшенням об‘єму лівого гемітораксу зі зміщенням трахеї вліво та зміщенням ребер. Спостерігається затемнення лівої половини грудної клітки. Лівий купол діафрагми не візуалізується. Лівий головний бронх «обрубаний».

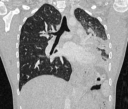
На КТ спостерігається ендобронхіальне утворення в проксимальному відділі лівого головного бронху з дистальним ателектазом. Утворення не має порожнин та вогнищ кальцифікації.
Висновок: хворій було виконано лобектомію та гістологічно було доведено, що це типова карценоїдна пухлина.
Джерело: https://bit.ly/34Y02DN
Виконала: Maria Melnychenko