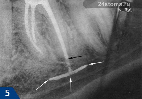
Отлом инструмента
Дискуссия о причинах и хронологии смутного времени
Действие третье явление 1 недоросль
Вывод о полку игореве 9 класс
Мальчик невидимка брэдбери для читательского дневника
Кухня столешница 80 см глубиной
Kingdom come 2 лучший конь
Ботинки 8 года
Hayit murat phantom
Как оформить карту иностранцу
Популярная обработка классической музыки
Рхл 20
Диско бар молодость
Профессия овощевод как связана с биологией кратко
Отлом инструмента 111 фотографий





































































































