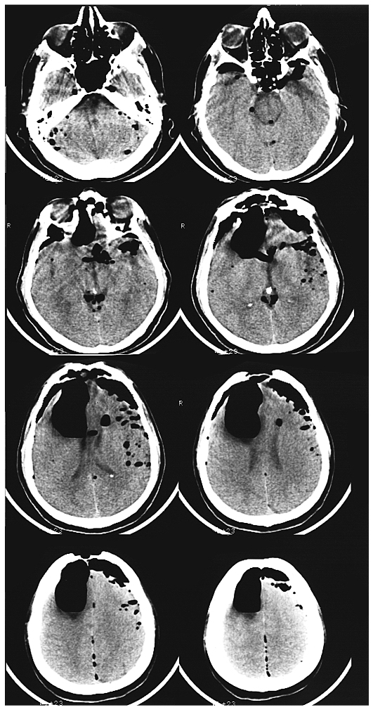
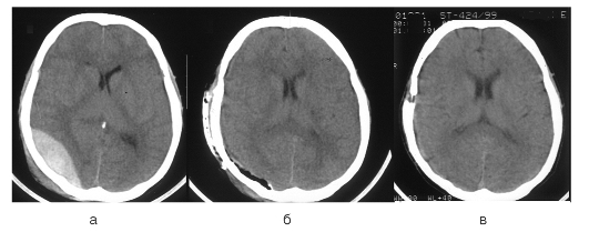
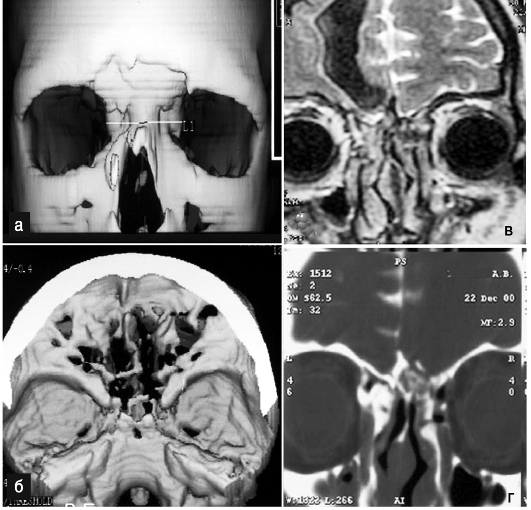
Открытая Чмт Фото
Открытая Чмт Фото 110 фото
Иркутск Откровенные Фото
Каша Беллакт Фото
Добавить Форму На Фото
Вид Спорта Волейбол Картинки
Модные Сумки Фото
Рыбки Фото Купить
Виды Цен Фото
Авито Татарстан Собаки Маленьких Пород Фото
Сайт Знакомств С Откровенными Фото Без Регистрации
Андрей Зыков Фото









































































































