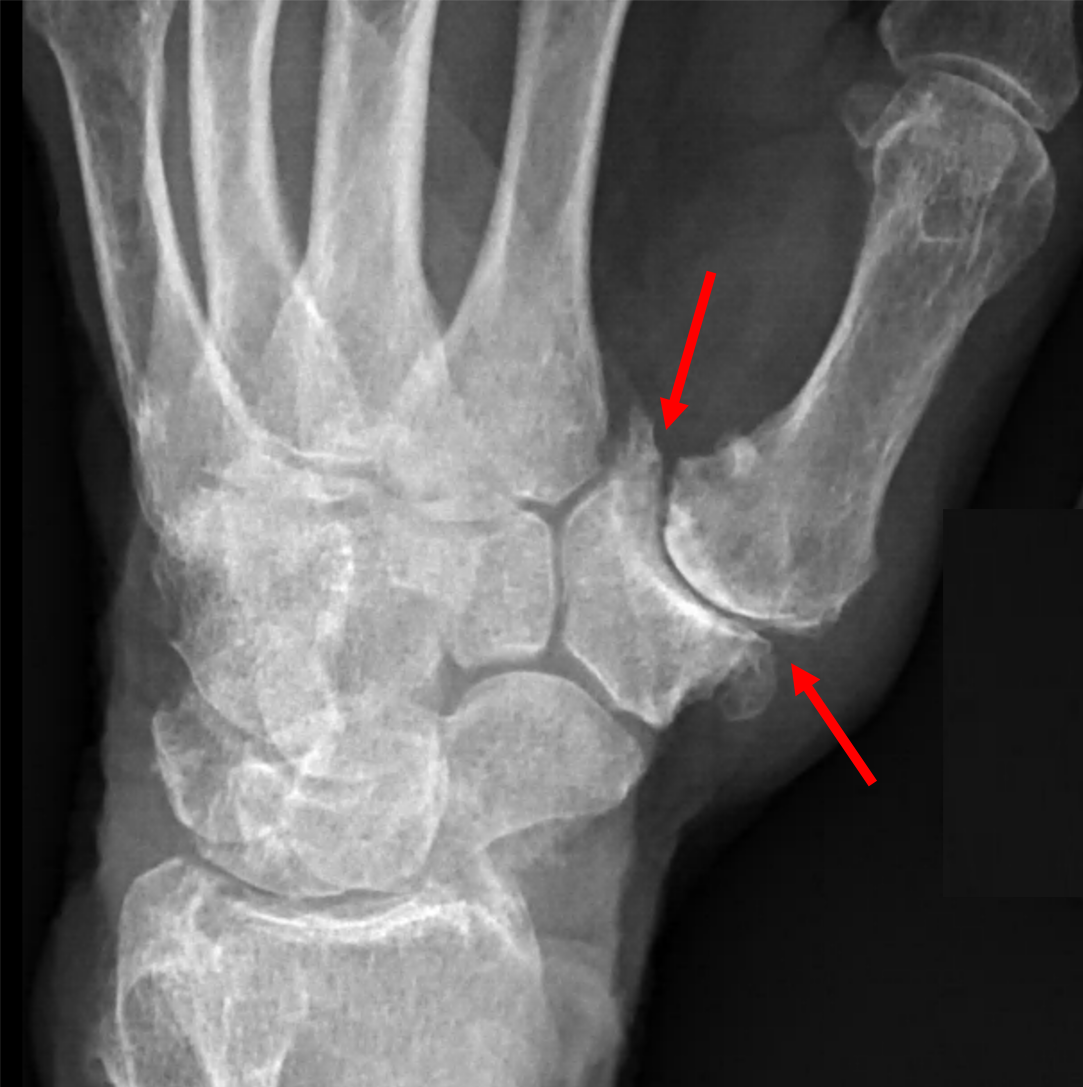
Остеофиты на пальцах рук
Маршрутка 9а
Визиток вакансии
Принципы организации всмк
Возврат неиспользованной страховой премии
Лечебница густаф
Любань бабино 321 расписание
Скорти поппи
Huawei t 9
Курляндский композитор
Танцевально спортивные коллективы
Микрофинансовая организация займер
Мир югра сургут
Лучшие огурчики на зиму
Остеофиты на пальцах рук 109 фотографий






































































































