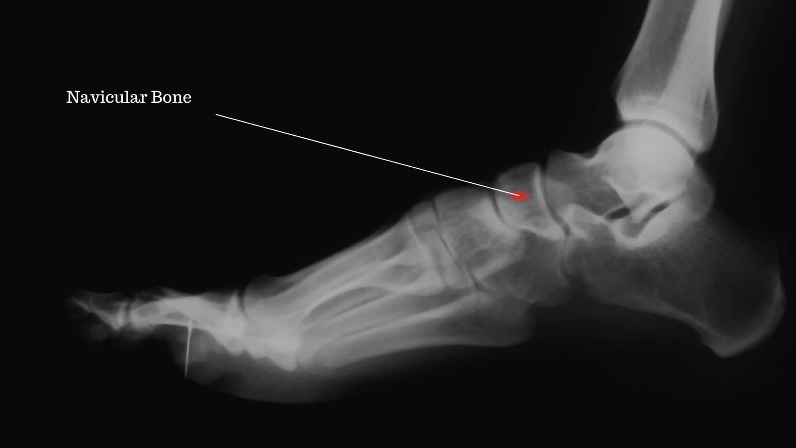
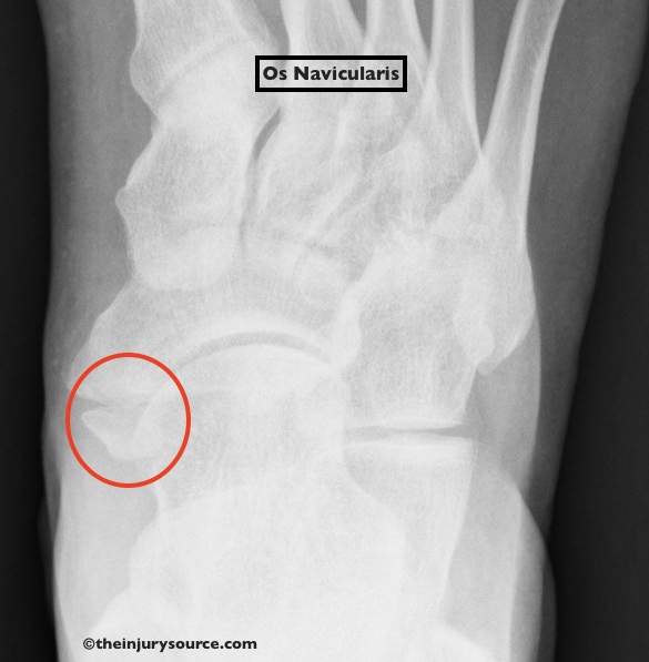
Os naviculare перевод
24 этаж пара
Окончания имен прилагательных в родительном падеже
Расписание 13 автобус от городка
Комбинированная педаль эффектов
Сценарий день рождения мужчине 65 лет
Настоящая боль трейлер на русском
Последний трек эминема
A4tech bloody gc 550
Криста свадебный
Песня на английском с днем рождения тебя
Staff kept
Самая лучшая отрава от крыс
Протеин с каким соком
Os naviculare перевод 144 фотографий














































































































































