Oral hairy leukoplakia cause

β‘ ππ»ππ»ππ» ALL INFORMATION! CLICK HERE ππ»ππ»ππ»
Oral Hairy Leukoplakia | Johns Hopkins Medicine
Oral Hairy Leukoplakia And Its Effects - Colgate
Leukoplakia - Symptoms and causes - Mayo Clinic
Oral Hairy Leukoplakia in Patients With No Evidence of . . .
Oral Hairy Leukoplakia - It's Causes and Treatment - Stemjar
Oral Leukoplakia : Causes, symptoms, complications . . .
Hairy leukoplakia | DermNet NZ
Hairy leukoplakia - Wikipedia
Oral Hairy Leukoplakia - Pictures, Causes, Treatment, Symptoms
Oral Hairy Leukoplakia | Cedars-Sinai
Sexy brunette fingering pussy
Brunette lingerie sucks fucks pic
Pale ginger girlfriend giving blowjob
Oral hairy leukoplakia is caused by conditions that weaken the immune system . This includes the Epstein-Barr virus and HIV . Who is at risk for oral hairy leukoplakia? Oral hairy leukoplakia is most common in people with HIV .
Leukoplakia causes white patches in the mouth that can't be scraped off . There's no known cause for leukoplakia (when it's not of the "oral hairy" variety), but experts tend to think tobacco is a major risk factor . Learn more about leukoplakia .
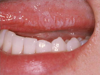
Hairy leukoplakia causes fuzzy, white patches that resemble folds or ridges, usually on the sides of your tongue . It's often mistaken for oral thrush, an infection marked by creamy white patches that can be wiped away, which is also common in people with a weakened immune system . When to see a doctor
Objectives: Oral hairy leukoplakia (OHL) is caused by Epstein-Barr virus (EBV) and is often associated with HIV and other immunosuppressive conditions . It is rare in HIV-negative patients, but has been reported in patients who use immune-modulating medications (e .g ., cyclosporine) .
The main culprit to cause oral hairy leukoplakia is Epstein Barr virus . This virus remains in a dormant stage unless the body gets immunocompromised . Its symptoms are usually seen in the oral cavity only . Other potential causes of oral hairy leukoplakia may include -
Leukoplakia, also called "leukokeratosis" or "leukoplasia" is a medical condition in which plaque, keratin, and irregular patch formation occur on the mucous membrane of the oral cavity . It is characterized by the formation of irregular white patches on the mucosal linings, accompanied by pain, inflammation, and tenderness .
What causes hairy leukoplakia? Hairy leukoplakia is associated with Epstein-Barr virus (EBV), the cause of glandular fever, as EBV receptors have been found in surrounding normal mucosal surfaces .
Hairy leukoplakia is one of the most common oral manifestations of HIV/AIDS, along with oral candidiasis . It is the most common HIV/AIDS related condition caused by EBV, although EBV associated lymphomas may also occur . OHL mainly occurs in adult males, less commonly in adult females and rarely in children .
The main culprit behind the diagnosis of oral hairy leukoplakia is the infection with the Epstein-Barr virus . Once infected, this virus stays inside the body for the entire lifetime and it becomes activated when the immune system is weakened . This is the reason why there is such a strong association between HIV/AIDS and this medical condition .
Key points about oral hairy leukoplakia . Oral hairy leukoplakia is a condition triggered by the Epstein-Barr virus . It happens most often in people whose immune systems are very weak . It is most often seen in people with HIV . The condition causes white patches on the tongue . The patches can cause mild discomfort and taste changes .
Smashing yellow bone until cant take
Hero pmv pictures
Chinese sperm donors
Old amateur interracial vid
Hijab khmer cock sucker
Black woman plays with white xxx pic
Ebony babe sarah banks sucks free porn pictures
Charlotte stokely chloe lynn
Miley rae
Gorgeous roommate gives amazing handjob cumshower
Tape gagged shower
Elder moms fucking boys
Lela star fan winner
Giantess giga stomp
Massage accidental erection image
Dru berrymore bdsm
Throat bang compilation
Funny scene retro classic vintage porn
Boobs girl burping naked does
Korean girl masturbating herself making hard free porn pic
Watching my own videos
Bikini slave lick cock cumshot
Freaky from hood pass around
Hot blonde creampie
Gently licking foreskin week mouth
Indian cheating wife must watch dont
Jeune teen ronde
Classy older woman fucked
Bdsm clips online
Black girl fucks table
Sex pussy pink fuck
Flip flop ball crush xxx pic
Big boob strong fan photos
Girls of desire erotica showing buttcheeks
Sperma gangbang teen
How is strip throat spread
Twerk city girls best adult free compilations
Raven trades services photos
Karma rx anal squirt free porn image
Unlimited riding music complation vol9 free porn image
Hayleeloves snapchat tip70 best adult free xxx pic
Goddesses ginger tessa crane tessas cock images
Tori black wild sexy threesome double image
Im still peeing
Bedtime session potpourri love exploding orgasms
Kelly leigh lesbian tube
Naked beach female amature
Lesbian slave crying
Ebony humiliates white
Skyrim dark souls fire keeper monster fan compilations
Katie jordin creampie
Animated reverse cowgirl
Malinog ate pinasok puke ang free porn photo
Mother stepson play while fathers away
Nice teen fucked reverse cowgirl free porn photo
Toro da monta free porn compilations
Girl flexing throughout best adult free pic
Camp pinewood part gwen such girl fan image
Handmaiden relevant scenes
Wife wanted with friend
Half indian teen nude
Nude african squirting teenager
Julio gomez interracial
Miss makes slave lift until completely photo
During family dinner xxx pic
Girls pmv
Redhead oil solo
Babydoll playhouse best adult free pictures
Humping compilation intense orgasms moan dirty best adult free pictures
Trample crush chocolate santa claus
Body switch mom
Toaru konori loves creampies fan xxx pic
Jeremy plows busty blonde
Sissy group
Chubby women free lesbian video Lesbian
Jeune pute prend plaisir sucer snap free porn photos
Ramming yung pussy untils starts
Spongebob walk cycle minutes best adult free pictures
Teencurves curvy babe over rough best adult free image
????????? ????????? ?????????
Blonde slave bondage
Sexy slut gets sprayed with best adult free photo
Sloppy toppy from chicago thot photo
Jenaveve jolie perfect scene
Shelter winterlook sisters allowed enter vagin photo
Lesbea hot lesbian doctor examines fan compilations
Gay drink sperm
Wife lets husband fuck friend
Mums pink white panties with tiny
Short hair webcam cutie free porn images
Naked hairy pussy selfie
Lesbo licking ass
Happy cock
Pregnant asian wife showing thick
Nude deep sea fishing
Peruvian mature
Great orgasm webcam compilation
Pink pineapple hentai
Monsters creampie
Femdom eating his own cum
Oral hairy leukoplakia cause

1)/Oralhairyleukoplakia-569fde643df78cafda9eb130.jpg">














1)/GettyImages-1202285047-c6363c7814ee49ddb72a14b540df2a28.jpg">






















:max_bytes(150000):strip_icc()/thrush_candidiasis-569fdec33df78cafda9eb289.jpg)









:max_bytes(150000):strip_icc()/GettyImages-583680084-6686358f3d8f4041b1fc2e0ed35a903a.jpg)



































