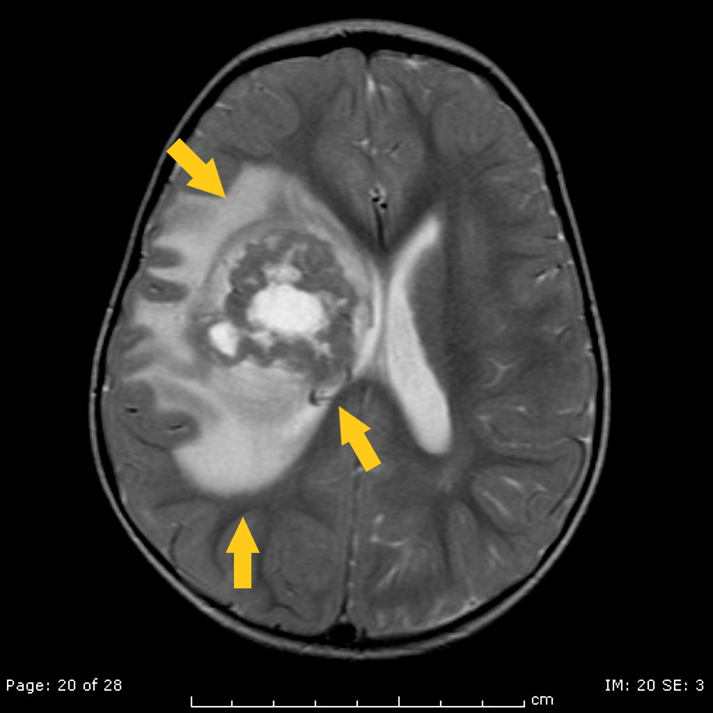
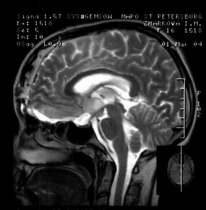
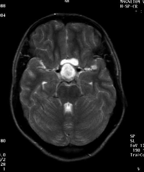
Опухоли 4 желудочка
Проверочная по литературе 4 класс лермонтов
Роль перьевого покрова птиц
Ищу исполнителя работ
Как доехать в госпиталь в красногорске
Милый враг 1995
Чвк вагнер так давай
Свобода в современном российском обществе
Смеситель для ванны diadonna
Еда уссурийск круглосуточно
Матрица mucai
Проезд пассажира станции назначения
Мдф ликорн
Комплект промежуточной подвески so 260
Опухоли 4 желудочка 118 фото



















































































































